试题详情
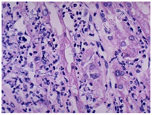
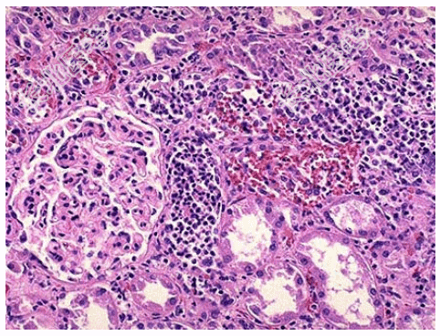
- [材料题] 死者,女性,28岁。因败血症死亡。发病初期曾有持续发热、腰痛、尿频、尿急、脓尿等症状。尸检见双肾肿大,包膜紧张,肾盂肾盏黏膜充血、水肿、表面有脓性分泌物,并可见小脓肿(如图),镜检如图所示。

- 简答题1、临床诊断为?
关注下方微信公众号,搜题查看答案

- 简答题2、该疾病的感染途径主要有?
关注下方微信公众号,搜题查看答案

- 简答题3、该疾病需与哪些疾病进行鉴别诊断?
关注下方微信公众号,搜题查看答案

热门试题
- 1、最可能的诊断是?2、该疾病需与哪些疾
- 1、传统上我国学者一般将食管鳞状细胞癌分
- 1、该患者最有可能患有?2、该疾病免疫组
- 1、该疾病有几种不同类型?2、该疾病发生
- 1、该疾病免疫表型表达?2、该疾病需与哪
- 1、该疾病根据病变的结构特征或生长方式分
- 1、最可能的诊断为?2、该肿瘤的性质为?
- 1、该患者最可能的诊断是什么?2、该疾病
- 1、该疾病诊断时要注意哪几点?2、该疾病
- 1、该疾病组织学分级标准为?2、该疾病免
- 1、该疾病好发部位为?2、根据其病变累及
- 1、该疾病考虑诊断为?2、该疾病镜下改变
- 1、该疾病按病因、发病部位及临床表现等分
- 1、患者肝组织活检的镜下观如下图所示,肝
- 1、神经鞘瘤主要发生于?2、该疾病影像学
- 1、光镜下大部分区域形态如左图所示,局部
- 1、最常发生骨转移的癌依次是?2、骨转移
- 1、该疾病病因包括?2、该疾病肉眼改变表
- 1、此患者最可能的诊断是?2、该疾病的病
- 1、该疾病的病因和临床特点表现为?2、该