试题详情
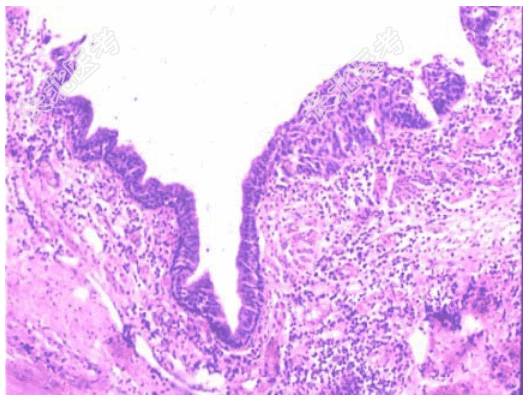
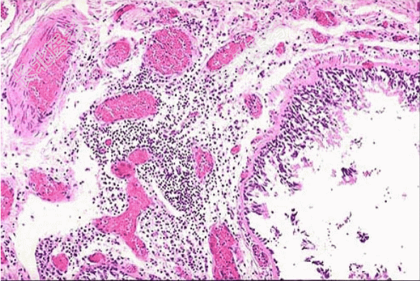
- [材料题] 患者,男,55岁,每年冬春季节均会出现反复发作的咳嗽、咳痰等症状,至少持续3个月以上。胸片示肺纹理增粗,紊乱。
- 简答题1、纤支镜取活检镜下如图所示,该患者正确的诊断是?

关注下方微信公众号,搜题查看答案

- 简答题2、该疾病的临床特点是?
关注下方微信公众号,搜题查看答案

热门试题
- 1、该疾病常见于?2、该疾病根据瘤细胞核
- 1、该疾病的镜下改变表现为?2、该疾病免
- 1、根据上述描述,首先考虑的病理诊断是?
- 1、该疾病的病理特点为?2、该疾病免疫组
- 1、早期发现前列腺癌的最佳方法是?2、该
- 1、该疾病好发于哪个年龄段?2、该疾病可
- 1、该疾病的临床特点为?2、该疾病有哪些
- 1、该疾病可有哪些镜下改变?2、该疾病可
- 1、唇部发生哪些肿瘤的可能性较大,并可伴
- 1、该疾病多发生于?2、该疾病病因包括?
- 1、该疾病的病因和发病机制是?2、该疾病
- 1、传统上我国学者一般将食管鳞状细胞癌分
- 1、该疾病肉眼改变表现为?2、该疾病镜下
- 1、早期胃癌分为?最多见的是?2、表浅型
- 1、巨检甲状腺组织不整形,切面呈多结节状
- 1、最可能的疾病是?2、该疾病的肉眼改变
- 1、该患者的病理诊断为?2、该疾病预后如
- 1、该疾病多见于?2、该疾病可有哪些肉眼
- 1、最可能的诊断是?2、该疾病的临床特征
- 1、该患者最有可能患有?2、该疾病免疫组