试题详情
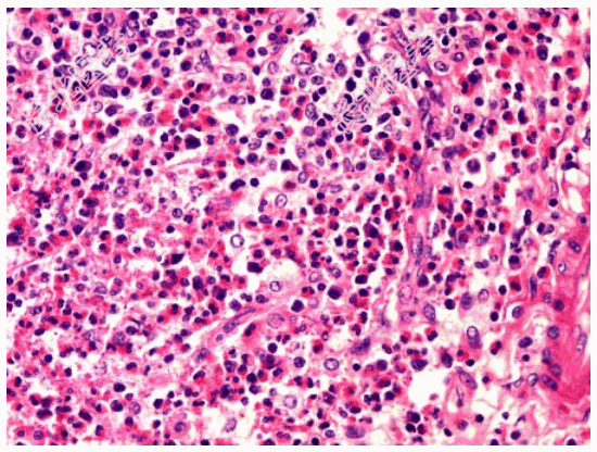
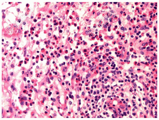
- [材料题] 患者男性,53岁,腹胀,返酸,嗳气半年。胃镜检查见胃窦部黏膜稍粗糙,并可见小片状糜烂。
- 简答题1、镜检如图所示黏膜内大量炎细胞浸润,以哪一类炎细胞为主?

关注下方微信公众号,搜题查看答案

- 简答题2、综合所见,正确的诊断为?
关注下方微信公众号,搜题查看答案

- 简答题3、该疾病好发于?
关注下方微信公众号,搜题查看答案

热门试题
- 1、该疾病好发于哪个年龄段?2、该疾病可
- 1、该患者最有可能患有?2、该疾病免疫组
- 1、该患儿最可能诊断为?2、该疾病镜下表
- 1、其病理诊断为?2、该疾病好发于?3、
- 1、该疾病肉眼改变表现为?2、该疾病镜下
- 1、该病的病因包括?2、该疾病可有哪些肉
- 1、此患者最可能的诊断是?2、该疾病的病
- 1、最有可能的诊断是?2、该疾病的病因为
- 1、该疾病大体检查表现为?2、该疾病组织
- 1、该疾病病因为?2、该疾病好发于?3、
- 1、该疾病病理特点表现为?2、该疾病的免
- 1、该疾病好发于哪个年龄段?2、该疾病好
- 1、该疾病镜下改变表现为?2、该疾病免疫
- 1、该疾病可有哪些镜下改变?2、该疾病可
- 1、该患者首先考虑?2、该疾病镜下改变表
- 1、该疾病的大体改变表现为?2、该疾病的
- 1、此肿瘤应诊断为?2、该疾病免疫组化表
- 1、该疾病光镜检查表现为?2、该疾病需与
- 1、该疾病肉眼改变表现为?2、该疾病镜下
- 1、最应该考虑的诊断是?2、该疾病按化生