试题详情
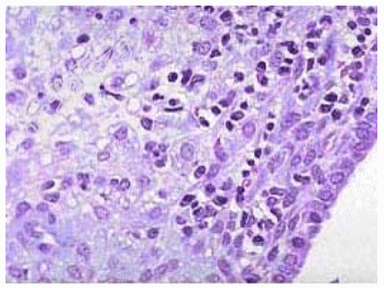
- [材料题] 患者女性,39岁,因经量增多,淋漓不尽行诊刮术。送检内膜组织镜下见子宫内膜间质中大量浆细胞浸润。

- 简答题1、应诊断为?
关注下方微信公众号,搜题查看答案

- 简答题2、该疾病的病因包括?
关注下方微信公众号,搜题查看答案

- 简答题3、生育期妇女发生的子宫内膜炎,常见哪几种诱发原因?
关注下方微信公众号,搜题查看答案

热门试题
- 1、该疾病的病因包括?2、该疾病镜下改变
- 1、该疾病病理学分级分为?2、该疾病的免
- 1、首先考虑的诊断是?2、该肿瘤的染色体
- 1、纤支镜取活检镜下如图所示,该患者正确
- 1、该疾病常见于?2、该疾病根据瘤细胞核
- 1、诊断考虑为?2、该病的发病机制是?3
- 1、该疾病类型属于?2、该疾病多发于?
- 1、该疾病的免疫组化表现为?2、该疾病分
- 1、该疾病有几种不同类型?2、该疾病发生
- 1、最可能的诊断为?2、该疾病镜下改变表
- 1、该疾病免疫组化表达?2、该疾病需与哪
- 1、根据上述,可能的诊断是?2、该患者既
- 1、该疾病的病因和临床特点表现为?2、该
- 1、促结缔组织增生性小圆细胞肿瘤的临床特
- 1、临床诊断为?2、该疾病的感染途径主要
- 1、该患者应诊断为?2、该疾病免疫组化表
- 1、该疾病免疫组化表达?2、该疾病涉及哪
- 1、巨检甲状腺组织不整形,切面呈多结节状
- 1、该疾病镜下改变表现为?2、该疾病特殊
- 1、该疾病病理分型分为?2、各型均有共同