试题详情
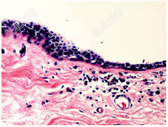
- [材料题] 患者女性,35岁,左乳头红肿触痛半月余,溢液一周。乳晕下扪及边界不清硬结,切除左乳送检,大体见乳头乳晕下区数条输乳管扩张扭曲,管腔扩张,直径1~2cm,管腔内充满棕黄色糊状物,管周有灰白色纤维性厚壁。镜下见乳腺小叶间质内出现扩张的导管,管腔内见脱落上皮细胞及脂质分泌物,导管周围纤维组织增生伴淋巴细胞浸润(如图)。临床诊断为乳腺导管扩张症。

- 简答题1、该疾病肉眼改变表现为?
关注下方微信公众号,搜题查看答案

- 简答题2、该疾病镜下改变表现为?
关注下方微信公众号,搜题查看答案

- 简答题3、该疾病需与哪些疾病进行鉴别诊断?
关注下方微信公众号,搜题查看答案

热门试题
- 1、该疾病肉眼改变表现为?2、该疾病镜下
- 1、该疾病可发生于?2、该疾病可有哪些肉
- 1、该疾病常见的转移部位包括?2、该疾病
- 1、该疾病多见于?2、该疾病可有哪些肉眼
- 1、本病可发于?2、本病肉眼改变可有哪些
- 1、该疾病病理特点表现为?2、该疾病的免
- 1、最可能的疾病是?2、该疾病的肉眼改变
- 1、于肿瘤处及其与周围交界处多点和多切面
- 1、此患者最可能的诊断是?2、该疾病的病
- 1、该患者应诊断为?2、该疾病多发于?3
- 1、遗传性结直肠癌典型代表主要有哪几类?
- 1、光镜下大部分区域形态如左图所示,局部
- 1、根据上述描述,首先考虑的病理诊断是?
- 1、临床诊断为?2、该疾病的感染途径主要
- 1、本病多见于?2、该疾病肉眼改变表现为
- 1、应考虑的诊断为?2、该病的疾病类型属
- 1、此肿瘤应诊断为?2、该疾病免疫组化表
- 1、该疾病免疫表型表达?2、该疾病需与哪
- 1、最有可能的诊断是?2、该疾病好发于?
- 1、该疾病常见于?2、该疾病根据瘤细胞核