试题详情
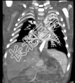
- 多项选择题女性,21岁, 活动后呼吸困难,时常发生上呼吸道感染, CT扫描如图所示,请选择正确的选项 ( )

A、考虑为肺静脉异位引流
B、肺静脉异位引流根据引流肺静脉支数的不同可分为部分性及完全性
C、根据引流部位不同分为心上型、心脏型、心下型
D、该病人肺静脉异位引流入下腔静脉
E、该病人为心下型肺静脉异位引流
关注下方微信公众号,搜题查看答案

热门试题
- 急性非ST段抬高性心肌梗死的治疗策略包括
- 哪些先天性心脏病可以出现右室肥大A、房间
- 1、根据患者目前病情应当给予的治疗包括(
- 心脏康复治疗分阶段为( )A、住院期
- 关于糖尿病大血管病变,叙述正确的有(
- 1、该患者的心电图表现符合2、应立即给予
- 心脏起搏器置入起搏器术中最重要但却不常见
- 下列各种心律失常中,哪些不适合洋地黄A、
- 关于嗜铬细胞瘤的治疗正确的是A、手术切除
- 47岁女性患者,诊断风湿性二尖瓣狭窄3年
- 1、对该患者医生应重点询问( )2、
- 关于动态血压监测的临床意义,以下哪几项正
- 1、该患者入院后应完善的必要的辅助检查有
- 1、该患者存在的心血管病危险因素有(
- 长期体力活动可能带来的益处有( )A
- 关于Holter记录的双极模拟导联描述中
- 主动脉瓣狭窄患者常出现心绞痛症状的原因为
- 1、入院诊断应考虑的疾病有( )2、
- 关于肺动脉瓣狭窄的临床诊断与治疗,叙述正
- 1、最可能的诊断是2、应首选的检查是3、