试题详情
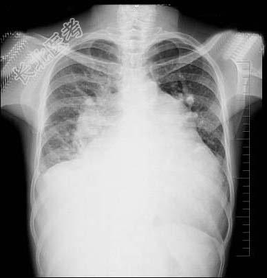
- 多项选择题47岁女性患者,诊断风湿性二尖瓣狭窄3年余, 近来呼吸困难,咳泡沫痰, 拍胸部正位片如图所示,下列关于肺部描述和结论正确的是 ( )

A、双侧肺纹理增强
B、双侧上下肺静脉比例倒置
C、肺门影模糊
D、肺野透亮度减低
E、考虑肺淤血
关注下方微信公众号,搜题查看答案

热门试题
- 妊娠高血压患者可以选择的降压药物有(
- 心脏起搏器置入起搏器术中最重要但却不常见
- 哪些先天性心脏病可以出现右室肥大A、房间
- 1、以下不属于PCI术前必须检查的有(
- 下列哪些提示重症胰腺炎A、高甘油三酯血症
- 仅应用于CABG患者的危险分层的评分模型
- 以下符合心脏神经症现代观念的有( )
- 1、查体发现的肺动脉瓣区第2心音亢进并呈
- 二尖瓣狭窄合并房颤后引起哪些变化A、诱发
- 1、患者应做哪些检查,对明确诊断有帮助?
- 1、该患者最可能的诊断是2、为明确诊断应
- 下面一组图像显示的是 ( )
- 一开始即表现为左、右心衰的疾病常见于A、
- 具有高心脏性猝死风险的室性心动过速包括(
- 成分输血中的红细胞输注是指输注A、浓缩红
- 关于继发性高血压,叙述正确的有( )
- 在心电图运动试验中出现下列哪些情况应立即
- 1、如果5年前的诊断成立,关于主动脉瓣狭
- 1、对该病例,应当采用的给氧措施是(
- CHA2DS2-VASc评分系统的内容不