试题详情
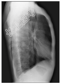
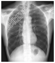
- [材料题] 患者,男性,70岁,秋冬季咳嗽、咳痰3年余,胸闷、气促2天入院。查体:桶状胸,双肺呼吸音粗,未闻及干、湿性啰音。心脏体查无异常。做胸部X光平片检查。

- 简答题1、诊断及依据是什么?
关注下方微信公众号,搜题查看答案

- 简答题2、鉴别诊断有哪些?
关注下方微信公众号,搜题查看答案

热门试题
- 1、该患者的影像诊断是什么?2、相关的鉴
- 1、为明确血管的闭塞程度应行的检查是?2
- 1、患者的诊断及依据是什么?2、患者的相
- 1、根据上述资料,你认为应该做哪些检查?
- 1、患者的诊断及依据是什么?2、鉴别诊断
- 1、请简述该病例的诊断要点是什么?2、最
- 1、影像诊断思路是什么?2、诊断要点是什
- 1、错构瘤是肿瘤吗?病理特点和分类有哪些
- 1、患者的诊断及依据是什么?2、鉴别诊断
- 1、患者的诊断为什么?2、颈动脉间隙内有
- 1、诊断及依据是什么?2、鉴别诊断有哪些
- 1、诊断要点是什么?2、鉴别诊断是什么?
- 1、患者的诊断及依据是什么?2、鉴别诊断
- 1、鼻腔内翻乳头状瘤的影像诊断要点是什么
- 1、诊断要点是什么?2、鉴别诊断是什么?
- 1、鼻咽纤维血管瘤的诊断要点是什么?2、
- 1、诊断要点是什么?2、鉴别诊断是什么?
- 1、患者的诊断及依据是什么?2、鉴别诊断
- 1、请简述该病例的诊断要点是什么?2、鉴
- 1、该患者的诊断及依据是什么?2、其影像