试题详情
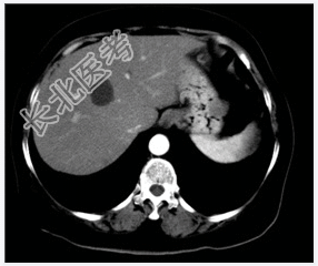
- [材料题] 患者,女性,40岁。体检B超发现肝内囊性病变,行上腹部CT增强扫描。

- 简答题1、患者的诊断及依据是什么?
关注下方微信公众号,搜题查看答案

- 简答题2、鉴别诊断有哪些?
关注下方微信公众号,搜题查看答案

热门试题
- 1、主动脉夹层常见的胸片表现有哪些?2、
- 1、影像诊断思路是什么?2、诊断要点是什
- 1、患者的诊断及诊断依据是什么?2、鉴别
- 1、诊断要点是什么?2、鉴别诊断是什么?
- 1、请简述该病例的诊断要点是什么?2、鉴
- 1、应做哪些检查?2、患者所做检查如图,
- 1、鉴别诊断有哪些?2、脊柱结核有哪些影
- 1、提示:查体发现腹部膨隆,肝肋下4cm
- 1、诊断要点是什么?2、鉴别诊断是什么?
- 1、诊断要点是什么?2、鉴别诊断是什么?
- 1、诊断要点是什么?2、鉴别诊断是什么?
- 1、诊断及依据是什么?2、鉴别诊断有哪些
- 1、肝癌破裂出血的诊治原则及注意事项?2
- 1、该患者可能诊断及依据为什么?2、硬膜
- 1、腹腔动脉造影可显示的血管有?2、除了
- 1、患者的诊断及依据是什么?2、患者的相
- 1、请问该患者优先选择的检查是?2、[提
- 1、诊断要点是什么?2、鉴别诊断是什么?
- 1、病变显示的征象包括?2、如患者无家族
- 1、诊断及依据是什么?2、鉴别诊断有哪些