试题详情
- [材料题] 【临床病史】女性,37岁。检查发现右肾占位20天。
【专科查体】视诊下腹部可见一点状瘢痕,其余为阴性。
【泌尿系统CT检查】仰卧位,横断位扫描,行泌尿系统CT平扫,冠状位、矢状位及三维重建加增强扫描(采用GE64排CT机)。增强扫描采用高压注射器经肘静脉注射非离子型碘对比剂,总量为85~90ml,流速为3.0~3.5ml/s,于注射后30秒、70~80秒、3~5分钟行皮髓质期、实质期、排泄期增强扫描。层厚5mm,层间隔5mm,螺距1。扫描范围自膈顶至髂骨翼水平。
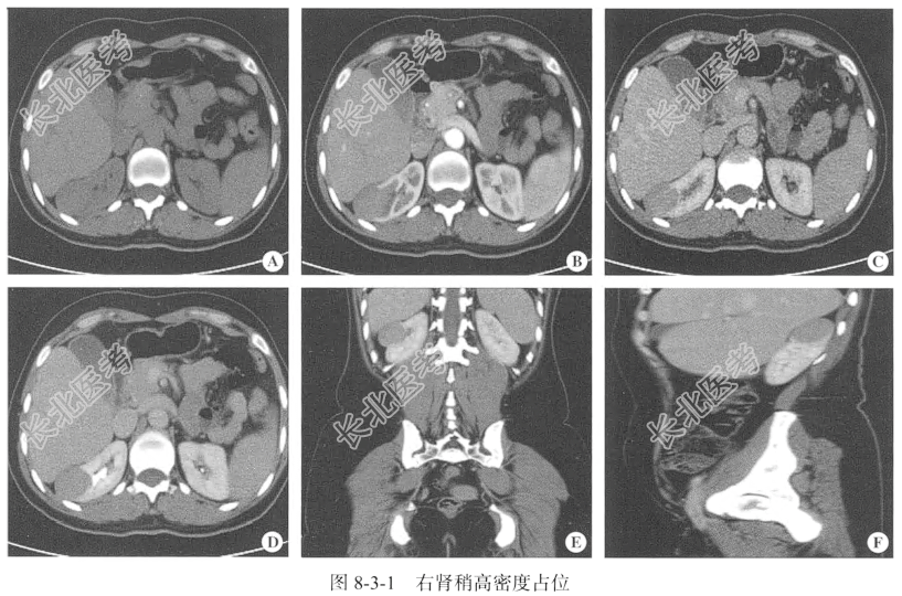
【影像图片】见图8-3-1。
【手术所见】麻醉生效后,留置导尿管,患者取左侧卧位,于腋后线第12肋下缘切2cm小口,分开皮下、肌层、腰背筋膜,进入腹膜间隙,伸示指于其下,前推腹膜,置入自制气束,充气700ml,保留5分钟后取出。于腋前线第12肋下缘,腋中线髂嵴上2cm,各穿刺置入0.5cm及1.0cm Trocar。于腋后线置入1.0cm Trocar,缝合皮肤,防止漏气。看清膈肌顶及腰大肌,将肾周筋膜沿腰大肌表面上下推开,靠腰大肌上方打开肾周筋膜。将肾向内侧推离,找到肾动、静脉。将肾动、静脉分离出,分离表面及周围淋巴管并电凝切断,同法处理肾静脉周围淋巴管。游离肾周间隙,完全游离肾下极,再由肾下极逐步分离至肾上极,肿瘤位于肾中极,游离肾脏,分出输尿管,将输尿管周围及表面组织分离松解。游离出动脉,并使用动脉夹阻断肾脏血流,距肿瘤约0.5cm处环形切开肾包膜,用超声刀切开分离肾组织,切除肾肿瘤组织,送病理检查。
【病理所见】(右肾肿瘤)光镜下见肿瘤细胞管状、腺泡状排列,细胞形态一致,大小为5cm×3.5cm×3cm(图8-3-2)。免疫组化结果:WT1(-),CD57(+),Desmin(-),P504s(-),EMA(-),AE1/AE3(-),CK7(-),CK18(+),Vim(+)。
【病理诊断】后肾腺瘤。
- 简答题1、影像诊断思路是什么?
关注下方微信公众号,搜题查看答案

- 简答题2、诊断要点与鉴别诊断是什么?
关注下方微信公众号,搜题查看答案

热门试题
- 1、针对上述病例,请问哪种疾病可能性最大
- 1、影像诊断思路是什么?2、诊断要点与鉴
- 1、请问该患者诊断应该是什么?2、请问该
- 1、请叙述卵巢癌临床症状和该影像学表现?
- 1、请问该患者最可能的诊断是什么?2、请
- 1、该患者最有可能的诊断是?2、表皮样囊
- 1、该病例可能的诊断是什么?2、CT检查
- 1、请问患者诊断是什么?2、请问诊断依据
- 1、该患者的诊断是什么?2、肝脓肿的常见
- 1、首先要考虑的疾病是?2、子宫肌瘤的病
- 1、影像诊断思路是什么?2、诊断要点与鉴
- 1、请问该患者入院后首先要做哪项常规检查
- 1、影像诊断思路是什么?2、诊断要点与鉴
- 1、请问目前患者的诊断主要考虑什么?2、
- 1、请问影像诊断思路是什么?2、请问诊断
- 1、若病人有明确的外伤史1周,出现局部红
- 1、请问该患者诊断是什么?2、请问鉴别诊
- 1、患者最可能的诊断是?2、[提示]患者
- 1、请问该患者首选的诊断是什么?2、为进
- 1、从题干临床表现看,应首先考虑哪种疾病