试题详情
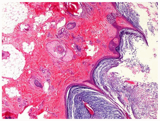
- [材料题] 患者女性,45岁,发现右下腹鸡蛋大肿物3月,行手术切除。大体见右卵巢囊性肿块5cm×5cm×4cm,包膜完整,切开内含大量皮脂、毛发,囊壁较光滑。显微镜下见角化鳞状上皮、丰富的皮脂腺、毛囊(如图)。临床诊断为卵巢成熟性囊性畸胎瘤。

- 简答题1、该疾病的大体改变表现为?
关注下方微信公众号,搜题查看答案

- 简答题2、该疾病的镜下改变表现为
关注下方微信公众号,搜题查看答案

- 简答题3、该疾病需与哪些疾病进行鉴别诊断?
关注下方微信公众号,搜题查看答案

热门试题
- 1、该疾病的病因和临床特点表现为?2、该
- 1、最可能的诊断为?2、该疾病可以有几种
- 1、该疾病常见于?2、该疾病肉眼改变表现
- 1、该疾病病理分型分为?2、各型均有共同
- 1、发病部位最常见于?2、该疾病的肉眼改
- 1、镜检如图所示黏膜内大量炎细胞浸润,以
- 1、胆石症的病因和临床特点表现为?2、胆
- 1、最可能的诊断是?2、该疾病的镜下改变
- 1、该疾病好发于哪个年龄段?2、该疾病可
- 1、早期发现前列腺癌的最佳方法是?2、该
- 1、该疾病免疫组化表达?2、该疾病涉及哪
- 1、手术切除标本光镜观察如下图,最可能的
- 1、该疾病根据病变的结构特征或生长方式分
- 1、最可能的诊断为?2、该疾病镜下改变表
- 1、该疾病的病理特点为?2、该疾病免疫组
- 1、该疾病的病因和临床特点表现为?2、该
- 1、该患者应诊断为?2、该疾病多发于?3
- 1、该疾病多数发生于?2、该疾病肉眼与镜
- 1、正确的诊断是?2、可能在本病中查出的
- 1、该疾病好发于?2、该疾病可有哪些肉眼