试题详情
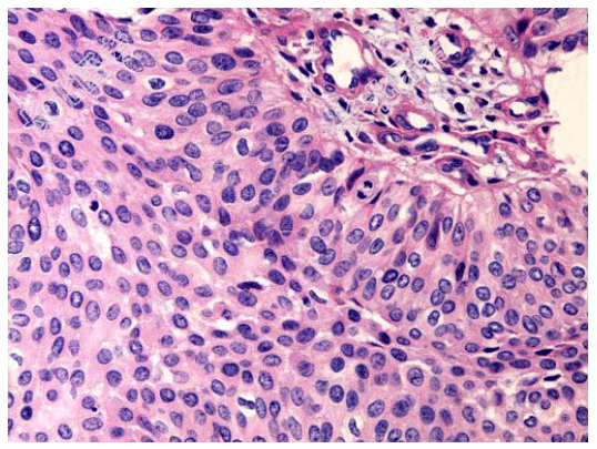
- [材料题] 男性,78岁,血尿2年。CT示右侧肾盂内可见软组织密度影,肾盂肾盏受压变形,考虑为肾脏肿瘤,遂行右肾切除,肾脏大体如图所示,镜检如图所示。临床考虑诊断为右肾盂移行细胞癌Ⅱ级。

- 简答题1、该疾病的病因和临床特点表现为?
关注下方微信公众号,搜题查看答案

- 简答题2、该疾病的肉眼改变表现为?
关注下方微信公众号,搜题查看答案

热门试题
- 1、最可能的诊断是?2、该疾病的临床特征
- 1、该疾病多发于?2、该疾病的并发症有哪
- 1、最可能的诊断为?2、根据腺瘤上皮异型
- 1、此患者最可能的诊断是?2、该疾病的病
- 1、该患者应诊断为?2、该疾病多发于?3
- 1、该疾病多见于?2、该疾病可有哪些肉眼
- 1、最应该考虑的诊断是?2、该疾病按化生
- 1、正确的诊断是?2、可能在本病中查出的
- 1、该疾病的临床特点是?2、该疾病的病理
- 1、神经鞘瘤主要发生于?2、该疾病影像学
- 1、该疾病病理特点表现为?2、该疾病的免
- 1、本病可发于?2、本病肉眼改变可有哪些
- 1、诊断考虑为?2、该病的发病机制是?3
- 1、该疾病考虑诊断为?2、该疾病镜下改变
- 1、最可能的诊断是?2、该疾病的免疫组织
- 1、该疾病免疫组化表达?2、该疾病涉及哪
- 1、应诊断为?2、该疾病的病因包括?3、
- 1、该患者最可能的诊断是什么?2、该疾病
- 1、该疾病有哪些特点?2、该疾病有哪些大
- 1、该患者最有可能患有?2、该疾病免疫组