试题详情
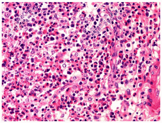
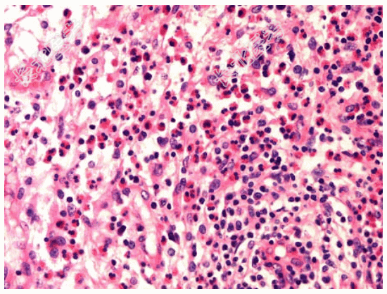
- [材料题] 患者男性,53岁,腹胀,返酸,嗳气半年。胃镜检查见胃窦部黏膜稍粗糙,并可见小片状糜烂。
- 简答题1、镜检如图所示黏膜内大量炎细胞浸润,以哪一类炎细胞为主?

关注下方微信公众号,搜题查看答案

- 简答题2、综合所见,正确的诊断为?
关注下方微信公众号,搜题查看答案

- 简答题3、该疾病好发于?
关注下方微信公众号,搜题查看答案

热门试题
- 1、患者肝组织活检的镜下观如下图所示,肝
- 1、该疾病的病理分型包括?2、该肿瘤向周
- 1、免疫组织化学角蛋白、EMA、钙视网膜
- 1、其病理诊断为?2、该疾病好发于?3、
- 1、急性排斥反应诊断的经典三联征为?2、
- 1、该疾病好发于?2、该疾病可有哪些肉眼
- 1、最可能的诊断是?2、该疾病的免疫组织
- 1、该疾病肉眼改变表现为?2、该疾病镜下
- 1、最可能的疾病是?2、该疾病的病因是?
- 1、该疾病的肉眼改变表现为?2、该疾病的
- 1、光镜下大部分区域形态如左图所示,局部
- 1、该疾病的病因有?2、该疾病可有哪些肉
- 1、该患者的病理诊断为?2、该疾病预后如
- 1、胆石症的病因和临床特点表现为?2、胆
- 1、该患者最可能的诊断是什么?2、该疾病
- 1、该疾病好发部位为?2、根据其病变累及
- 1、该疾病的病因和临床特点表现为?2、该
- 1、该疾病好发于哪个年龄段?2、该疾病可
- 1、该疾病有哪些特点?2、该疾病有哪些大
- 1、该疾病免疫表型表达?2、该疾病需与哪