试题详情
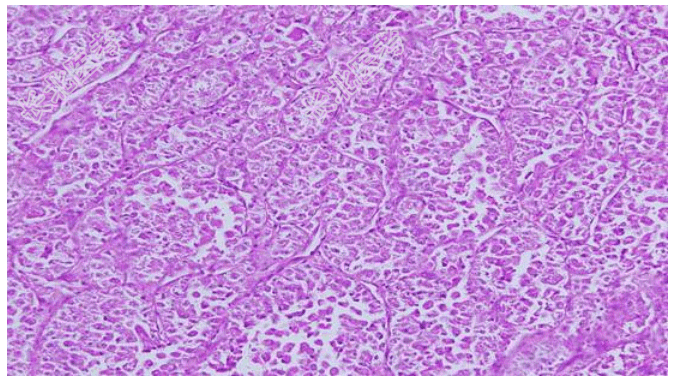
- [材料题] 患者女,22岁,左大腿深部肌肉组织内一直径约8.5cm肿块,结节状,切面呈灰白暗红色,灶区出血、囊性变。光镜下组织形态如图所示。

- 简答题1、最有可能的诊断是?
关注下方微信公众号,搜题查看答案

- 简答题2、该疾病好发于?
关注下方微信公众号,搜题查看答案

- 简答题3、哪种特殊染色对诊断有帮助?
关注下方微信公众号,搜题查看答案

- 简答题4、该疾病的免疫组化一般表达哪些?
关注下方微信公众号,搜题查看答案

热门试题
- 1、应诊断为?2、该疾病的病因包括?3、
- 1、最可能的诊断是?2、该疾病的临床特征
- 1、患者肝组织活检的镜下观如下图所示,肝
- 1、患者的疾病诊断最可能是?2、该疾病主
- 1、该疾病镜下改变表现为?2、该疾病特殊
- 1、该疾病多发于?2、该疾病免疫组化表达
- 1、该疾病的病因和发病机制是?2、该疾病
- 1、该患者的病理诊断为?2、该疾病预后如
- 1、该疾病类型属于?2、该疾病多发于?
- 1、该疾病好发于哪个年龄段?2、该疾病可
- 1、肝硬化主要病因是?2、根据大体形态学
- 1、该疾病肉眼改变表现为?2、该疾病免疫
- 1、该疾病光镜检查表现为?2、该疾病需与
- 1、促结缔组织增生性小圆细胞肿瘤的临床特
- 1、该疾病多发生于?2、该疾病病因包括?
- 1、该疾病的临床特点为?2、该疾病的病理
- 1、该患儿最可能诊断为?2、该疾病镜下表
- 1、该疾病肉眼改变表现为?2、该疾病镜下
- 1、该疾病的病因包括?2、该疾病的肉眼改
- 1、该患者首先考虑?2、该疾病镜下改变表