试题详情
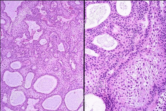
- [材料题] 患者男性,18岁,因颅内肿瘤手术,术中见肿瘤位于蝶鞍上部,球形,有包膜,直径3cm。术后巨检肿块囊实性,囊内充满淡黄色液体,实性区灰白色,质硬,镜检如图,临床诊断为颅咽管瘤。

- 简答题1、该疾病病理特点表现为?
关注下方微信公众号,搜题查看答案

- 简答题2、该疾病的免疫组化表达?
关注下方微信公众号,搜题查看答案

- 简答题3、该疾病需与哪些疾病进行鉴别诊断?
关注下方微信公众号,搜题查看答案

热门试题
- 1、该疾病可发生于?2、该疾病肉眼改变表
- 1、早期发现前列腺癌的最佳方法是?2、该
- 1、急性排斥反应诊断的经典三联征为?2、
- 1、该疾病病理学表现为?2、该疾病病免疫
- 1、该疾病镜下改变表现为?2、该疾病特殊
- 1、该疾病肉眼改变表现为?2、该疾病镜下
- 1、发病部位最常见于?2、该疾病的肉眼改
- 1、肝硬化主要病因是?2、根据大体形态学
- 1、该疾病常见于?2、该疾病肉眼改变表现
- 1、最可能的诊断为?2、该疾病镜下改变表
- 1、此病变应诊为?2、该疾病的临床特点是
- 1、该疾病的病因和发病机制是?2、该疾病
- 1、该疾病病因包括?2、该疾病多发于?3
- 1、该疾病的病因和发病机制是?2、该疾病
- 1、该疾病的大体改变为?2、该疾病的镜下
- 1、该疾病的病因和临床特点表现为?2、该
- 1、该疾病镜下改变表现为?2、该疾病免疫
- 1、该疾病肉眼改变表现为?2、该疾病镜下
- 1、该疾病病因为?2、该疾病好发于?3、
- 1、该疾病的病理改变为?2、该疾病的典型