试题详情
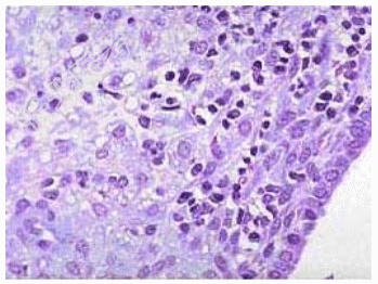
- [材料题] 患者女性,39岁,因经量增多,淋漓不尽行诊刮术。送检内膜组织镜下见子宫内膜间质中大量浆细胞浸润。

- 简答题1、应诊断为?
关注下方微信公众号,搜题查看答案

- 简答题2、该疾病的病因包括?
关注下方微信公众号,搜题查看答案

- 简答题3、生育期妇女发生的子宫内膜炎,常见哪几种诱发原因?
关注下方微信公众号,搜题查看答案

热门试题
- 1、本病可发于?2、本病肉眼改变可有哪些
- 1、最可能的诊断是?2、该病的疾病类型属
- 1、该疾病肉眼改变表现为?2、该疾病镜下
- 1、该疾病的病因包括?2、该疾病细菌侵入
- 1、胆石症的病因和临床特点表现为?2、胆
- 1、该疾病免疫组化表达?2、该疾病需与哪
- 1、最可能的诊断是?2、该疾病的免疫组化
- 1、应诊断为?2、该疾病的病因包括?3、
- 1、该疾病光镜检查表现为?2、该疾病电镜
- 1、本病多见于?2、该疾病肉眼改变表现为
- 1、该疾病镜下改变表现为?2、该疾病免疫
- 1、最可能的诊断是?2、该疾病的免疫组织
- 1、该疾病的病因和发病机制是?2、该疾病
- 1、该患者最可能的病因是?2、该疾病的病
- 1、该疾病诊断时要注意哪几点?2、该疾病
- 1、该患者的病理诊断为?2、该疾病预后如
- 1、该疾病的病理分型包括?2、该肿瘤向周
- 1、正确的诊断是?2、可能在本病中查出的
- 1、最可能的疾病是?2、该疾病的肉眼改变
- 1、该疾病多数发生于?2、该疾病肉眼与镜