试题详情
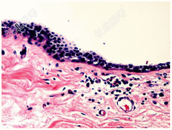
- [材料题] 患者女性,35岁,左乳头红肿触痛半月余,溢液一周。乳晕下扪及边界不清硬结,切除左乳送检,大体见乳头乳晕下区数条输乳管扩张扭曲,管腔扩张,直径1~2cm,管腔内充满棕黄色糊状物,管周有灰白色纤维性厚壁。镜下见乳腺小叶间质内出现扩张的导管,管腔内见脱落上皮细胞及脂质分泌物,导管周围纤维组织增生伴淋巴细胞浸润(如图)。临床诊断为乳腺导管扩张症。

- 简答题1、该疾病肉眼改变表现为?
关注下方微信公众号,搜题查看答案

- 简答题2、该疾病镜下改变表现为?
关注下方微信公众号,搜题查看答案

- 简答题3、该疾病需与哪些疾病进行鉴别诊断?
关注下方微信公众号,搜题查看答案

热门试题
- 1、该疾病的病理分型包括?2、该肿瘤向周
- 1、该疾病的镜下改变表现为?2、该疾病免
- 1、该疾病肉眼改变表现为?2、该疾病镜下
- 1、此患者最可能的诊断是?2、该疾病的病
- 1、该患者最可能的病因是?2、该疾病的病
- 1、其病理诊断为?2、该疾病好发于?3、
- 1、传统上我国学者一般将食管鳞状细胞癌分
- 1、手术切除标本光镜观察如下图,最可能的
- 1、该疾病的肉眼改变表现为?2、该疾病的
- 1、该疾病免疫表型表达?2、该疾病需与哪
- 1、该疾病的大体改变表现为?2、该疾病的
- 1、最可能的诊断是?2、该疾病的免疫组织
- 1、该疾病的病因为?2、该疾病肉眼改变表
- 1、促结缔组织增生性小圆细胞肿瘤的临床特
- 1、纤支镜取活检镜下如图所示,该患者正确
- 1、该疾病镜下改变表现为?2、该疾病免疫
- 1、肝硬化主要病因是?2、根据大体形态学
- 1、该疾病好发于哪个年龄段?2、该疾病可
- 1、该疾病多数发生于?2、该疾病肉眼与镜
- 1、该疾病有哪些特点?2、该疾病有哪些大