试题详情
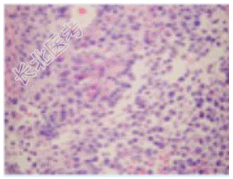
- [材料题] 患者男性,59岁。骶部疼痛伴左下肢麻痛半年,夜间疼痛加剧。MRI示盆腔巨大肿物,侵犯骶骨、尾骨及髂骨。组织形态:低倍镜下显示分叶结构和黏液背景(左图);中倍镜下显示肿瘤细胞呈条索状、片状分布于黏液背景中,细胞异型性不大、胞浆丰富,部分胞浆内见空泡(右图)。病理诊断为脊索瘤。

- 简答题1、该疾病镜下改变表现为?
关注下方微信公众号,搜题查看答案

- 简答题2、该疾病免疫表型表达?
关注下方微信公众号,搜题查看答案

- 简答题3、该疾病需与哪些疾病进行鉴别诊断?
关注下方微信公众号,搜题查看答案

热门试题
- 1、该疾病光镜检查表现为?2、该疾病需与
- 1、最可能的诊断是?2、该疾病的镜下改变
- 1、该疾病考虑诊断为?2、该疾病镜下改变
- 1、此患者最可能的诊断是?2、该疾病的病
- 1、该疾病可发生于?2、该疾病肉眼改变表
- 1、此病理通道是?2、该疾病的病理改变是
- 1、该疾病的病因和临床特点表现为?2、该
- 1、该疾病光镜检查表现为?2、该疾病电镜
- 1、该疾病肉眼改变表现为?2、该疾病镜下
- 1、该患者可能诊断为?2、该病例的疾病类
- 1、此肿瘤应诊断为?2、该疾病免疫组化表
- 1、早期胃癌分为?最多见的是?2、表浅型
- 1、其病理诊断为?2、该疾病好发于?3、
- 1、该疾病免疫表型表达?2、该疾病的扩散
- 1、该疾病病因包括?2、该疾病肉眼改变表
- 1、光镜下大部分区域形态如左图所示,局部
- 1、免疫组织化学角蛋白、EMA、钙视网膜
- 1、最常发生骨转移的癌依次是?2、骨转移
- 1、神经鞘瘤主要发生于?2、该疾病影像学
- 1、该疾病的大体改变为?2、该疾病的镜下