试题详情
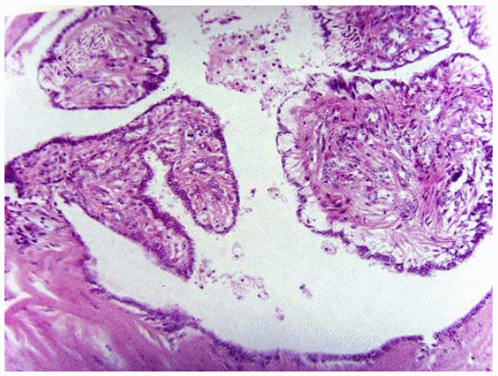
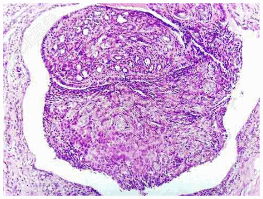
- [材料题] 女性,35岁,左侧乳头血性溢液半月余,乳头附近扪及柔软、樱桃大小包块,尚可活动。超声显示肿块界限清楚,低回声结节。手术切除,显微镜下管腔内见树枝状结构,乳头和导管共存(如图)。临床诊断为导管内乳头状瘤。

- 简答题1、该疾病大体检查表现为?
关注下方微信公众号,搜题查看答案

- 简答题2、该疾病组织学表现表现为?
关注下方微信公众号,搜题查看答案

热门试题
- 1、该疾病的免疫组化表现为?2、该疾病分
- 1、免疫组织化学角蛋白、EMA、钙视网膜
- 1、该患者最可能的诊断是什么?2、该疾病
- 1、该疾病病因包括?2、该疾病肉眼改变表
- 1、该疾病的病因包括?2、该疾病肉眼改变
- 1、此病变应诊为?2、该疾病的临床特点是
- 1、该疾病免疫表型表达?2、该疾病的扩散
- 1、该疾病考虑诊断为?2、该疾病镜下改变
- 1、最应该考虑的诊断是?2、该疾病按化生
- 1、该疾病肉眼改变表现为?2、该疾病镜下
- 1、该疾病诊断时要注意哪几点?2、该疾病
- 1、该肿瘤最可能的病理诊断是?2、该疾病
- 1、该疾病的病因包括?2、该疾病的病理改
- 1、本病多见于?2、该疾病肉眼改变表现为
- 1、此肿瘤应诊断为?2、该疾病免疫组化表
- 1、该疾病光镜检查表现为?2、该疾病电镜
- 1、该疾病镜下改变表现为?2、该疾病免疫
- 1、该疾病按病因、发病部位及临床表现等分
- 1、该疾病的病因包括?2、该疾病侵及脑膜
- 1、该患者首先考虑?2、该疾病镜下改变表