试题详情
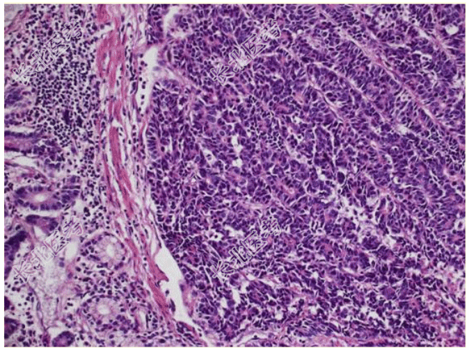
- [材料题] 患者女,66岁,十二指肠乳头上方2cm处发现一个直径约1.0cm肿块,呈息肉状生长。切面见肿块主要位于黏膜下,与周围界限尚清,黏膜表面浅溃疡形成。镜下:瘤细胞相对一致,有异型,大多呈腺样、腺泡状排列,核分裂象约12个/10HPF。
- 简答题1、根据上述,可能的诊断是?
关注下方微信公众号,搜题查看答案

- 简答题2、该患者既往有糖尿病、胆结石、脂肪泻、体重下降及贫血等临床症状。光镜下组织形态如图所示。免疫组织化学染色:CK(+),CGA(+),SYN(+),CD56(+),Ki-67指数8%。肿瘤性质最可能是?

关注下方微信公众号,搜题查看答案

热门试题
- 1、该疾病镜下改变表现为?2、该疾病免疫
- 1、应考虑的诊断为?2、该病的疾病类型属
- 1、该疾病的病因有?2、该疾病的肉眼改变
- 1、该疾病的病理改变为?2、该疾病的典型
- 1、该疾病的临床特点为?2、该疾病的病理
- 1、最可能的诊断为?2、该疾病镜下改变表
- 1、该疾病考虑诊断为?2、该疾病镜下改变
- 1、该疾病多见于?2、该疾病肉眼改变表现
- 1、该疾病的病因为?2、该疾病肉眼改变表
- 1、急性排斥反应诊断的经典三联征为?2、
- 1、该疾病的病因包括?2、该疾病细菌侵入
- 1、该患者最有可能患有?2、该疾病免疫组
- 1、该疾病根据病变的结构特征或生长方式分
- 1、其病理诊断为?2、该疾病好发于?3、
- 1、该疾病光镜检查表现为?2、该疾病电镜
- 1、该疾病免疫表型表达?2、该疾病的扩散
- 1、该疾病的大体改变为?2、该疾病的镜下
- 1、首先考虑的诊断是?2、该肿瘤的染色体
- 1、该疾病肉眼改变表现为?2、该疾病免疫
- 1、遗传性结直肠癌典型代表主要有哪几类?