试题详情
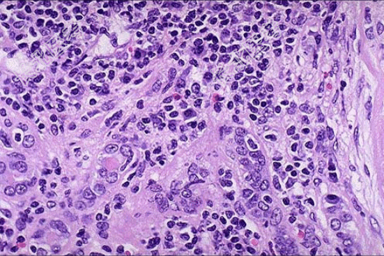
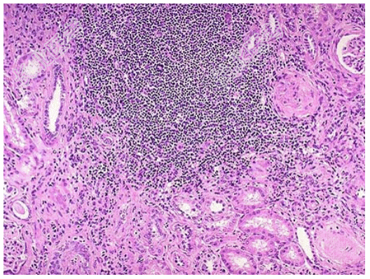
- [材料题] 患者女性,53岁,双肾缩小,表面可见不规则瘢痕,两侧改变不对称,切开,皮髓质界限不清,肾乳头萎缩,肾盏和肾盂因瘢痕收缩而变形,肾盂黏膜粗糙;巨检如图,镜下如图所示。

- 简答题1、应首先考虑的是?
关注下方微信公众号,搜题查看答案

- 简答题2、该疾病需与哪些疾病进行鉴别诊断?
关注下方微信公众号,搜题查看答案

热门试题
- 1、该疾病病理学分级分为?2、该疾病的免
- 1、早期胃癌分为?最多见的是?2、表浅型
- 1、最可能的疾病是?2、该疾病的肉眼改变
- 1、此患者最可能的诊断是?2、该疾病的病
- 1、该疾病的病因和临床特点表现为?2、该
- 1、该疾病的病因包括?2、该疾病侵及脑膜
- 1、此病理通道是?2、该疾病的病理改变是
- 1、该疾病的临床特点为?2、该疾病有哪些
- 1、该疾病肉眼改变表现为?2、该疾病免疫
- 1、该患者应诊断为?2、该疾病免疫组化表
- 1、此肿瘤应诊断为?2、该疾病免疫组化表
- 1、应考虑的诊断为?2、该病的疾病类型属
- 1、该疾病病因包括?2、该疾病肉眼改变表
- 1、其病理诊断为?2、该疾病好发于?3、
- 1、最常发生骨转移的癌依次是?2、骨转移
- 1、首先考虑的诊断是?2、该肿瘤的染色体
- 1、该患者可能的诊断为?2、该疾病好发年
- 1、该疾病肉眼改变表现为?2、该疾病镜下
- 1、该疾病镜下改变表现为?2、该疾病免疫
- 1、该疾病好发于?2、该疾病病理学改变表