- [材料题]
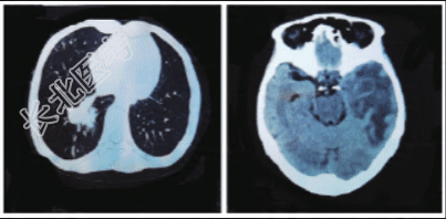
患者,女,63岁,农民。因“咳嗽、咳痰4个月,发现肺部、颅内占位1月余”入院。患者被家人发现不能言语,答非所问,于当地医院就诊。头颅+胸部CT:左侧额叶转移瘤伴水肿可能大,右肺下叶阻塞性肺炎,左肺下叶占位;两肺多发陈旧灶。PET-CT示左侧颞叶不规则环形稍高密度影,SUV最大值11.9,右肺下叶见3.9cm×3.0cm分叶状团块影,SUV最大值9.3,考虑右下肺癌伴右肺转移、肺下叶阻塞性炎症,右肺门淋巴结转移,左颞叶脑转移。脱水改善脑水肿治疗后,失语情况明显改善。
入院后癫痫发作1次。查体:体温38.7℃,血压140/80mmHg(1mmHg=0.133kPa),神志清,精神差,答非所问,失语,体型消瘦(身高1.5m,体重35kg)。四肢肌力Ⅳ级,肌张力正常,余未见明显异常。辅助检查:血常规示白细胞计数7.83×10⁹/L,中性粒细胞绝对值6.8×10⁹/L,血红蛋白96g/L,血小板计数153×10⁹/L,C反应蛋白(CRP)7.6mg/L;肿瘤标志物:CA125157.9U/ml,CA15330.65U/ml,神经元特异性烯醇化酶23.96ng/ml;ANA抗体谱:抗核抗体、SS-A/Ro52阳性,胞浆颗粒型阳性(1∶320),抗环瓜氨酸肽抗体27.9RU/ml。血G试验、GM试验、乙肝五项、丙肝抗体、梅毒抗体、HIV均阴性,免疫球蛋白、补体、淋巴细胞亚群均正常范围。眼科评估未见干眼。腮腺显像示双层腮腺摄取及分泌功能减退。痰液抗酸染色、X-pert阴性。头颅强化MRI示圆形或类圆形的囊状颅内占位,囊壁较薄,大小不等(图2)。腰穿CSF检查:压力90mmH₂O(1mmH₂O=0.0098kPa),淡黄色澄清。CSF培养、结核X-pert、隐球菌荚膜抗原染色阴性;淋巴细胞增生活化伴中性粒细胞增多,部分呈凋亡趋势;可见少量单核巨噬细胞,未见恶性肿瘤细胞证据;潘氏试验(+++),有核细胞3×10⁶/L,红细胞50×10⁶/L;蛋白3.37g/L,葡萄糖2.08mmol/L,氯化物102mmol/L,乳酸3.6mmol/L。CSF二代测序示为脓肿诺卡菌(序列数3995,置信度高)。诊断:诺卡菌性脑脓肿。
- 简答题1、
诺卡菌性脑脓肿的临床表现有哪些?
关注下方微信公众号,搜题查看答案

- 简答题2、
诺卡菌性脑脓肿的治疗方案是什么?
关注下方微信公众号,搜题查看答案

- 简答题3、
患者目前的状况需要关注哪些并发症?
关注下方微信公众号,搜题查看答案

- 简答题4、
如何预防诺卡菌感染?
关注下方微信公众号,搜题查看答案

- 1、患者的可能的诊断及诊断依据为? 2
- 1、室管膜瘤MRI影像特点为? 2、室
- 1、根据患者入院时的临床特征诊断为?
- 1、初步诊断及诊断依据为? 2、患者有
- 1、该病的病因是什么?发病机制是什么?
- 1、诺卡菌性脑脓肿的临床表现有哪些?
- 1、初步诊断是什么? 2、诊断依据是什
- 1、初步诊断及诊断依据是什么? 2、需
- 1、根据患者入院时的临床特征,GCS评分
- 1、患者初步诊断为? 2、确诊需进一步
- 1、初步诊断及诊断依据为? 2、该病的
- 1、为改善该患者临床症状,哪些类药物可以
- 1、患者诊断及诊断依据为? 2、需要与
- 1、患者诊断及诊断依据为? 2、需要鉴
- 1、患者诊断及诊断依据为? 2、确诊需
- 1、目前考虑的诊断是什么? 2、什么是
- 1、垂体腺瘤可分为哪些类型? 2、诊断
- 1、目前考虑的诊断是什么?诊断依据是什么
- 1、其病变性质最可能是? 2、需要进一
- 1、对于该患者,合理的治疗方式有? 2