- [材料题]
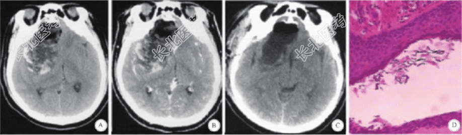
患者,男,58 岁,因“左侧肢体乏力4 年,进行性加重2年”入院。患者4 年前无明显诱因出现左侧肢体乏力,间断发作,不影响正常工作生活,未诊疗;2 年前患者自感左侧肢体乏力较前加重,发作次数较前增多,发作时表现为走路时左下肢拖拽感明显,左上肢上举无力,左手持物不稳,偶有头痛,不伴有头晕、恶心及呕吐,无肢体抽搐,无视物模糊。既往身体健康,无高血压及其他特殊疾病,无家族性遗传性疾病史。入院查体:神志清,双瞳孔等大等圆,直径约3 mm,光反应灵敏,伸舌居中,颈软,左侧肢体肌力四级,无视力视野损害、嗅觉减退等其他阳性体征。颅脑平扫及增强CT检查示,筛窦及右侧前颅中窝不规则混杂密度灶,筛板骨质破坏,边缘尚清,向上达额中叶上部,其内密度不均,可见片状低密度和高密度区,注射对比剂后未见明显强化征象。颅脑MRI示,筛窦及右侧前中颅凹异常信号灶,呈混杂信号。入院诊断为筛窦颅内沟通型巨大病变,考虑畸胎瘤可能。完善术前检查,无手术禁忌,在全麻下行右侧扩大翼点入路肿瘤切除术,术中见颅底骨质缺损,颅底硬膜被肿瘤向上顶起形成肿瘤包膜并包绕肿瘤,切开此硬膜,其内见蜡状、蛋黄样物质并混有短毛发,给予清除,约150 mL;肿瘤内壁为层状结构,呈珍珠样光泽,给予刮除,颅底硬膜塌陷,去除部分硬膜后严密缝合以封堵颅底骨质缺损处,术中地塞米松生理盐水反复冲洗术区,手术顺利。术后地塞米松维持治疗1 周,无无菌性脑膜炎及脑脊液鼻漏出现,术后CT示颅内肿瘤消失,病理诊断形态学结合术中所见(混有少许断毛发),符合皮样囊肿。

- 简答题1、
该病的病因是什么?发病机制是什么?
关注下方微信公众号,搜题查看答案

- 简答题2、
该病临床表现有?
关注下方微信公众号,搜题查看答案

- 简答题3、
需要与哪些疾病相鉴别?
关注下方微信公众号,搜题查看答案

- 简答题4、
该病治疗原则是什么?
关注下方微信公众号,搜题查看答案

- 简答题5、
治疗后容易发生什么并发症?
关注下方微信公众号,搜题查看答案

- 1、初步诊断及诊断依据是什么? 2、该
- 1、该患者肺癌脑转移的诊断依据是什么?
- 1、诊断为少突胶质细胞瘤依据是什么?
- 1、确诊需进一步检查的项目为? 2、患
- 1、诺卡菌性脑脓肿的临床表现有哪些?
- 1、患者诊断及诊断依据为? 2、确诊需
- 1、患者诊断及诊断依据为? 2、需进一
- 1、垂体腺瘤可分为哪些类型? 2、诊断
- 1、患者诊断及诊断依据为? 2、典型临
- 1、初步诊断及诊断依据是什么? 2、治
- 1、初步诊断是什么? 2、诊断依据是什
- 1、根据患者入院时的临床特征诊断为?
- 1、舌咽神经痛的特点和可能的原因? 2
- 1、初步诊断及诊断依据为? 2、该病的
- 1、患者初步诊断为? 2、确诊需进一步
- 1、患者诊断及诊断依据为? 2、需要与
- 1、室管膜瘤MRI影像特点为? 2、室
- 1、对于该患者,合理的治疗方式有? 2
- 1、初步诊断及诊断依据是什么? 2、鉴
- 1、初步诊断及诊断依据是什么? 2、鉴