试题详情
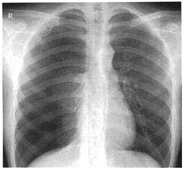
- 单项选择题男性,16岁,胸痛12小时( )

A、右侧气胸
B、右肺炎症
C、右侧液气胸
D、右侧肺炎
E、左侧气胸
关注下方微信公众号,搜题查看答案

热门试题
- 男性,36岁。5个月前因“上腹痛15小时
- 男性,44岁,发热5天( ) <
- 患者男,70岁,因反复咳嗽、咳脓痰20余
- 患者男性,32岁,左膝外伤1小时。查X线
- 患者,47岁,活动后出现呼吸困难一年余。
- 患者男,75岁,反复排全程无痛性肉眼血尿
- 男性,55岁,嗽咳、咳血1月( )
- 女,62岁,以“突发胸痛伴恶性、呕吐7小
- 患者男,35岁。外伤后1小时。诊断
- 女性,32岁,月经紊乱伴溢乳1年,头颅M
- 患者,39岁,右腕外伤,疼痛、活动受限半
- 请选出正确诊断( )
- 患儿,4岁,外周血图片如下,请问患者诊断
- 中年男性,因体检发现左上肺病变入院,否认
- 男,32岁。眼部外伤1天入院。术前检查,
- 老年男性患者,因反复咳嗽、咳脓痰20余年
- 男,45岁。因“乏力2月”来院,查体:贫
- 男性,61岁发热、轻度呼吸困难( )
- 请报告箭头所指细胞的名称
- 患者女,52岁,体检超声发现肝脏占位性病