试题详情
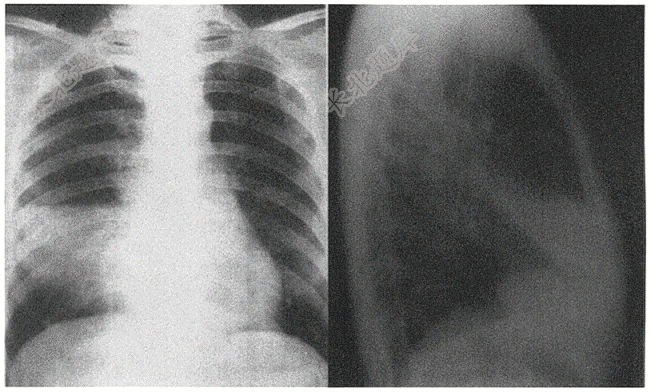
- 单项选择题男性,44岁,发热5天( )

A、右下肺炎症
B、左下肺炎症
C、右侧胸腔积液
D、右肺中叶肺结核
E、右肺中叶大叶性肺炎
关注下方微信公众号,搜题查看答案

热门试题
- 男,27岁,活动后突然右侧胸疼( )
- 患者,男,45岁,既往有消化道溃疡病史,
- 患者女性,28岁,主因消瘦、乏力,心悸、
- 患者女,35岁,上腹部不适半年余。
- 患者男,48岁。健康体检化验。诊断:
- 患者男,40岁,1h前诉剧烈头痛,现神志
- 患者男,60岁,外伤6小时,头痛伴呕吐、
- 患者,女,57岁,主诉“发现左乳肿块1周
- 患者男性,40岁,主因发作性心悸2年,再
- 患者男性,45岁,心悸伴头晕2天,至门诊
- 患者女性,70岁,主因体重下降3个月就诊
- 患者男,31岁,头痛、呕吐、并出现意识模
- 中年男性,因淋雨后出现高热,伴有咳嗽,咳
- 女,58岁,以“反复咳嗽、咳痰23年,活
- 患者因胸痛2小时不缓解就诊,查心电图如下
- 患者,55岁反复腹痛2年,再发1周。
- 男,45岁,高处坠落致右踝疼痛、肿胀3天
- 男,71岁。既往高血压10年,心电图如图
- 下列心电图检查最可能的是( )
- 患者,女,25岁,近1月有阵发性心悸,心