试题详情
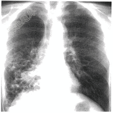
- 单项选择题老年男性患者,因反复咳嗽、咳脓痰20余年,加重1周入院。既往有肺炎病史。有长期吸烟史。胸片如下图,患者目前最有可能诊断是( )

A、支气管扩张
B、支气管肺炎
C、浸润性肺结核
D、肺不张
E、右肺下叶肺癌
关注下方微信公众号,搜题查看答案

热门试题
- 男,44岁,反复呕血、黑便4天,行上消化
- 患者男性,69岁。高血压病30年,胸痛7
- 女,58岁,以“反复咳嗽、咳痰23年,活
- 患者男性,52岁,主诉"咳嗽痰血2月",
- 患者老年女性,60岁,因突发腹痛腹胀,肛
- 女性,52岁,有“小三阳”病史6年,呕血
- 患者男,60岁,外伤6小时,头痛伴呕吐、
- 患者女,15岁。反复意识丧失伴四肢强直1
- 男性,45岁,右大腿外伤1小时来诊,查X
- 患者,男,61岁,体检B超如下图,请进行
- 患儿,男,12岁,骨髓涂片如下,请问患者
- 男性,61岁发热、轻度呼吸困难( )
- 女性,25岁,肠吻合术后22年,腹痛发热
- 请报告箭头所指细胞的名称
- 患者,39岁,右腕外伤,疼痛、活动受限半
- 患者女性,自觉颈部胀痛1月,查体可见甲状
- 下图是肌电图中何种异常自发电位( )
- 请选出正确答案( )
- 患者男,68岁,反复胸闷气促12年,加重
- 患者女性,64岁,间断心悸1年,加重1周