试题详情
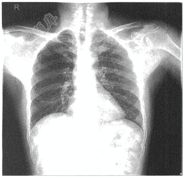
- 单项选择题男,32岁。眼部外伤1天入院。术前检查,胸片如图,诊断为( )

A、两肺无殊
B、心影增大改变
C、左侧肩锁关节半脱位
D、颈部气管狭窄
E、可疑肺结节
关注下方微信公众号,搜题查看答案

热门试题
- 患者女,38岁。咳嗽伴间断发热6天。诊断
- 患者女,56岁,反复关节疼痛10年,活动
- 患者,女,7岁,间断头部不适1年余
- 患者男,59岁,咳嗽、咯血10余天。
- 患者男,31岁,因偶发心动过速来院,根据
- 患者男性,68岁。肛门坠胀、腹泻2月就诊
- 男性,16岁,胸痛12小时( )
- 请选出正确诊断答案( )
- 患者女,35岁。阵发性心悸3年,再发1小
- 男,30岁,腹痛12小时,剑突下及中腹部
- 脑电图如图所示,最可能的癫痫类型为(
- 女性,45岁,上腹部不适3月余( )
- 请指出下列血气分析中哪一项是Ⅰ型呼吸衰竭
- 患者男性,76岁,主因进行性吞咽困难2个
- 男性,61岁发热( )
- 患者男性,50岁,间断性上腹痛1天,加重
- 男,44岁,反复呕血、黑便4天,行上消化
- 患者男性,52岁,主诉"咳嗽痰血2月",
- 患者,男,49岁,胸痛1小时
- 患者,女性,38岁,乏力、纳差两月。请结