试题详情
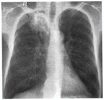
- 单项选择题男性,55岁,嗽咳、咳血1月( )

A、右上肺炎症
B、右上肺癌
C、右上肺不张
D、右上纵隔肿瘤
E、右上肺结核
关注下方微信公众号,搜题查看答案

热门试题
- 女,35岁,时有腰部酸痛,体检超声如图,
- 请选出正确诊断( )
- 患者男性,52岁,主诉"咳嗽痰血2月",
- 男性患者,因体检胸片发现右下肺病变入院,
- 患者男,54岁,因胸闷、心悸就诊,根据其
- 男性患儿,1岁。发现心杂音半年来诊,口唇
- 男,20岁,因心悸来诊,既往每年发作1次
- 患者男,56岁。其骨髓穿刺涂片如图所示,
- 患者男性,35岁,左侧肋骨骨折3h。查体
- 女性,76岁,原有冠心病史,因胸痛3h住
- 患者女性,56岁,心悸3个月,查心电图如
- 患者男性,68岁,腹痛、腹部包块2个月,
- 男,30岁,腹痛12小时,剑突下及中腹部
- 男性,55岁,嗽咳、咳血1月( )
- 男,16岁。反复肢体抽搐伴意识不清发作一
- 青年男性,因突发胸痛3小时至急诊就诊,体
- 患者,男性,65岁,腹痛、腹胀2天,请结
- 男,29岁,右臂受打击后疼痛,畸形2小时
- 女性,57岁,上腹部不适1月余( )
- 患者,44岁,腹痛、腹胀伴呕吐,肛门停止