试题详情
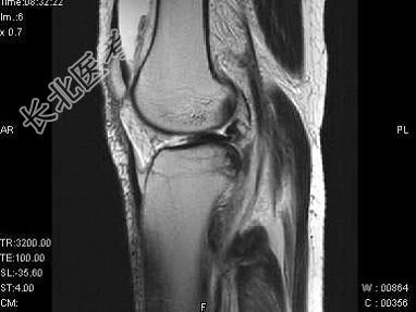
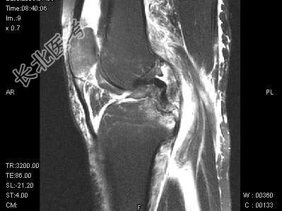
- 单项选择题女,17岁, 右膝关节有外伤史,现膝关节疼痛, 活动受限,结合图像, 最可能的诊断是 ( )

A、半月板撕裂
B、膝关节退变
C、未见异常
D、前交叉韧带断裂
E、后交叉韧带断裂
关注下方微信公众号,搜题查看答案

热门试题
- 男,21岁, 腰部不适,晨起加重半年余,
- 关于脊椎椎体爆裂骨折,正确的表述为A、骨
- 提示骨折不愈合下列哪项是错误的 (
- 男,30岁, 感右下颌部有一肿物,逐渐肿
- 男,33岁, 无明显症状,结合图像, 最
- 女性,66岁。全身性骨骼疼痛2个月余,
- 1、需要考虑哪些疾病2、该病最可能的诊断
- “急性化脓性骨髓炎”最好发于 (
- 男,6岁, 身材矮小,关节畸形, 血钙磷
- 下列不是骨纤维异常增殖症的特点的是A、单
- 有关髋臼的解剖,正确的表述为A、由髂骨、
- 下列不是关节创伤的并发症和后遗症是
- 腕间骨最晚出现的是A、舟状骨B、豆状骨C
- 下列哪项不是“软骨发育不全”骨质改变特点
- 软组织肿瘤钙化常见于 ( )A
- 女,22岁。反复头痛伴双下肢水肿10余年
- 脊柱退行性骨关节病X线表现:①椎间隙狭窄
- 女,55岁, 跌倒后右手痛,结合X线平片
- 男,28岁, 踝部肿痛,结合图像, 最可
- 关于骨肿瘤的影像学表现,错误的是(