试题详情
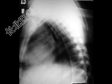
- 单项选择题男,21岁, 腰部不适,晨起加重半年余, X线检查如图,最可能的诊断是 ( )

A、类风湿关节炎
B、脊椎退行性变
C、强直性脊柱炎
D、化脓性脊柱炎
E、阻滞椎
关注下方微信公众号,搜题查看答案

热门试题
- 患者,女性, 50岁,右股骨下端疼痛2个
- 骨折后24小时内摄片时X线征象为 (
- 有关牛皮癣性关节炎的叙述中,哪项不正确
- 8岁男孩,外伤后感左肘关节肿痛, 行左肘
- 下列转移性骨肿瘤特点中,哪项是错的
- 骨髓瘤病人经治疗后,病变有好转,MR信号
- 男,25岁, 额部无痛性隆起2月余,结合
- 剥脱性骨软骨炎好发于 ( )A、
- 1、关于病变发生的部位,叙述正确的是2、
- 下列关于“长管状骨结核”的描述,哪项错误
- 患者女,6岁, 左下肢跛行三年,直立时臀
- CT诊断成人寰枢关节半脱位,标准是环椎前
- 属于骨恶性肿瘤的是 ( )A、皮
- 骨折临床愈合期一般在骨折后 (
- 儿童股骨头骨骺缺血性坏死,早期具有诊断意
- 慢性化脓性骨髓炎瘘管经久不愈的原因是
- 软骨肉瘤的X线表现包括A、中心型软骨肉瘤
- 椎间小关节囊是指 ( )A、包绕
- 骨折的愈合过程可分为 ( )A
- 男,17岁,右腿酸痛、肿胀2个月余。右膝