试题详情
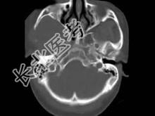
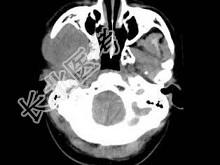
- 单项选择题男,30岁, 感右下颌部有一肿物,逐渐肿大, 胀痛,局部麻木1月余, 结合图像,最可能的诊断是 ( )

A、神经纤维瘤
B、神经鞘瘤
C、血管瘤
D、下颌骨肉瘤
E、软骨瘤
关注下方微信公众号,搜题查看答案

热门试题
- 脊柱骨髓瘤MR的表现是 ( )A
- 可引起寰枢关节半脱位原因是( )。A
- 脊椎结核的MRI表现中,错误的是A、椎体
- 患者肾衰晚期,多骨的改变是什么引起的结果
- 纤维性骨皮质缺损的特点包括 (
- 下列关于“多发性骨髓瘤”错误的是 (
- 下列关于“Sprengel畸形”,哪项错
- 关于移行椎颅侧移位的特点中,下列哪项错误
- 骨瘤好发部位是 ( )A、肱骨B
- 男,16岁, 左膝痛,结合图像, 最可能
- 色素沉着绒毛结节性滑膜炎病理特点为A、关
- 对于诊断多发性骨髓瘤,下列CT表现中哪项
- 股骨头骨骺缺血坏死早期X线表现中,下列哪
- 下列肿瘤性病变中,不属于椎管髓内肿瘤范畴
- 男,18岁, 右锁骨轻微疼痛,伴局部肿胀
- “恶性骨肿瘤”最常见的转移的部位是
- 佝偻病的常见病因为A、饮食性维生素D缺乏
- 1、最可能的诊断是 ( )2、发
- 骨皮质的MRI信号表现为 ( )
- 下列对于椎管关节描述正确的有 (