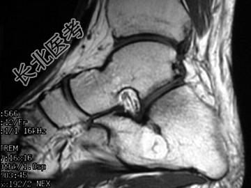
试题详情
- 单项选择题男,33岁, 无明显症状,结合图像, 最可能的诊断是 ( )

A、骨囊肿
B、骨脓肿
C、未见异常
D、骨內脂肪瘤
E、血管瘤
关注下方微信公众号,搜题查看答案

热门试题
- 肾性骨营养不良最常见的特点是 (
- 正常成年人胸椎椎管前后径范围为 (
- 下列有关尤文肉瘤的叙述中,错误的是
- 恶性骨巨细胞瘤或良性骨巨细胞瘤恶变的CT
- 男,65岁, 腰背部疼痛1月余,结合图像
- 引起骨质破坏的病变有 ( )A
- 四肢长管状骨摄片时至少应包括 (
- 关于神经鞘瘤和神经纤维瘤的描述哪项错误
- 男,39岁,打篮球伤及左踝部半个小时,左
- 有关骨巨细胞瘤,下列不正确的是A、MRI
- 女,65岁, 尺侧有一包块,结合图像,
- 椎间盘脱出的部位常见于 ( )A
- 长骨结核的影像表现不包括( )。A、
- 下述“转移性骨肿瘤”的描述错误的是
- 男,10岁。胫骨下端干骺端有一直径2mm
- 下列关于“霍奇金病”骨质改变,哪项错误
- 股骨颈骨折最严重和常见的并发症是(
- 腰椎侧隐窝狭窄CT诊断标准为前后径≤A、
- X线表现的严重程度与临床症状不相称,为下
- 对椎间盘变性的错误描述是( )A、可