试题详情
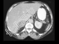
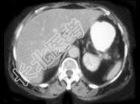
- 单项选择题女,45岁, 满月脸、向心性肥胖2年余,实验室检查: 血、尿皮质醇增高,结合CT图像, 最可能的诊断是 ( )

A、右肾上腺腺瘤
B、右肾上腺腺癌
C、右肾上腺转移癌
D、左肾上腺嗜铬细胞瘤
E、左肾上腺增生
关注下方微信公众号,搜题查看答案

热门试题
- 1、该患者最适合的影像学检查是( )
- 根据所提供的图像,该患儿最可能的诊断为
- 膀胱病变最基本的检查方法是 (
- 女,42岁, 左侧腰背部胀痛不适1年余,
- 女,36岁, 血尿1周,根据所示图像,
- 1、结合病史及影像学检查结果,可以考虑患
- 1、患者可进行的影像学检查2、CT检查所
- 多数前列腺增生最早出现的症状( )。
- 肾癌X线血管造影中,错误的是 (
- 发生于膀胱上皮的肿瘤是 ( )A
- 1、为了明确诊断,最有意义的检查为
- 下列哪种病变,不出现局部肾影增大表现
- 较易出现钙化的肾上腺肿瘤是A、嗜铬细胞瘤
- 下列腹膜后肿瘤最常见于儿童的是A、平滑肌
- 女,36岁, 左侧腰痛2年余,CT检查如
- 患者长期透析,根据所提供的图像, 最可能
- 患者,男,65岁。MRI检查右肾内一病灶
- 精索内静脉曲张介入治疗的并发症是 (
- 1、选择影像检查方法前,应先了解哪些临床
- 仰卧位时,下腹部探测输尿管与髂动脉的关系