试题详情
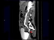
- 多项选择题女,42岁, 左侧腰背部胀痛不适1年余,5年前行左侧卵巢囊肿切除术, CT检查如图所示,下列说法正确的是 ( )

A、左侧附件区可见一囊性肿物,压迫输尿管下段
B、左侧输尿管下端狭窄
C、左侧肾盂肾盏扩张积水
D、左侧输尿管中上段扩张
E、考虑为左侧卵巢囊肿术后复发压迫并粘连输尿管致其狭窄
关注下方微信公众号,搜题查看答案

热门试题
- 女,13岁, 1年前出现月经来潮,4个月
- 男,72岁, 排尿困难1年余,无手术病史
- 尿路造影中,常见的异常征象有A、肾实质显
- 患者,男性, 71岁。主诉:发作性头晕、
- 肾盂癌的典型症状是( )。A、腰部钝
- 哪项关于前列腺癌的描述是错误的 (
- 青年男性,无自觉不适, CT平扫示双侧肾
- 一般情况下,CT图像上正常人膀胱壁的厚度
- 关于肾上腺结核,正确的说法有A、继发于身
- 膀胱三角区正确的描述是A、膀胱底部两侧至
- 男,45岁, 无痛性肉眼血尿2个月余,M
- 男,60岁, 尿频,淋漓不尽半年余。MR
- 下述关于宫颈癌的CT表现,错误的是A、宫
- 男,65岁, 左侧腰背部胀痛伴无痛性全程
- 男性盆腔CT检查,能观察的是A、生殖器肿
- 关于"卵巢滤泡囊肿",下列描述正确的有A
- 单纯性卵巢囊肿MRI表现A、T
- 肾腺瘤分型中,最多见的是( )。A、
- 膀胱内发现新生物,CT增强扫描可强化,则
- 腹内实质性脏器病变宜先采用何种检查