试题详情
- [材料题]
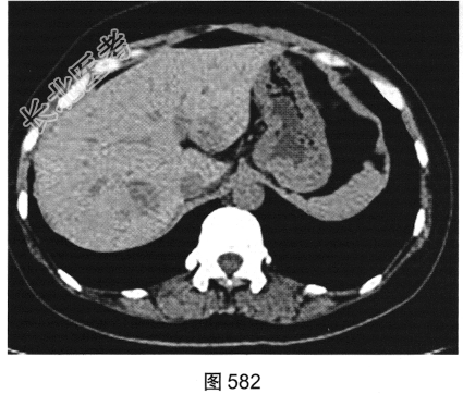
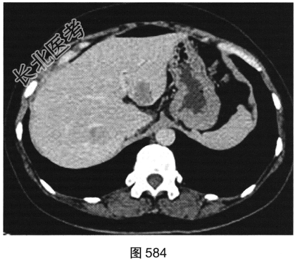
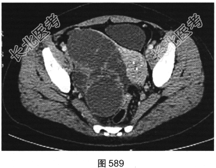
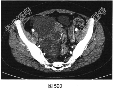
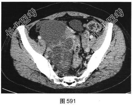
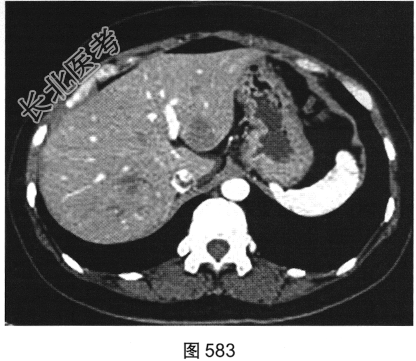
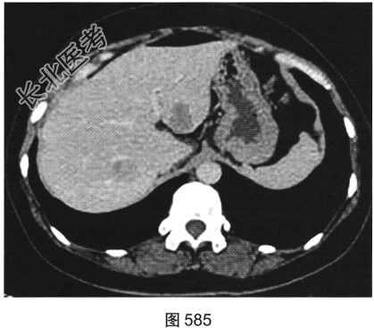
患者女性,38岁,因“间断性下腹部疼痛1周”入院。既往:否认肝炎、结核病史。查体:下腹部压痛。患者行腹部CT检查,见图582~图589。





- 多项选择题1.结合病史及影像学检查结果,可以考虑患者为以下哪些疾病( )
A、肝脏囊肿+附件囊腺瘤
B、肝脏转移瘤+附件囊腺癌
C、肝脏炎性假瘤+附件囊肿
D、肝脏炎性假瘤+输卵管积液
E、肝脏转移瘤+附件囊腺瘤
F、肝脏转移瘤+附件转移瘤
关注下方微信公众号,搜题查看答案

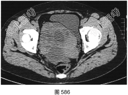
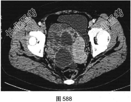
- 多项选择题2.[提示]患者盆腔CT表现见图590、图591。根据以上两幅盆腔CT图像,可以看到哪些阳性表现( )


A、直肠乙状结肠交界区肠管壁厚,强化不均匀
B、双侧髂血管周围多发结节影,可见强化
C、右侧附件区较大囊实性占位性病变,可见不均匀强化
D、右侧附件区多房囊性占位性病变,未见强化
E、盆底腹膜多发结节状软组织影,可见强化
F、盆腔大量积液
关注下方微信公众号,搜题查看答案

- 多项选择题3.根据患者的影像学检查结果,下一步还要提示临床医生进行哪项检查( )
A、肠道肿瘤标志物
B、结肠镜
C、盆腔DSA
D、胃镜
E、胶囊胃镜
F、头部MRI
关注下方微信公众号,搜题查看答案

- 多项选择题4.[提示]肠镜活检病理:中分化腺癌。糖链抗原724: 46.46U/ml,癌胚抗原292.61ng/ml, 糖链抗原242:58.13U/ml, 糖链抗原199:65.78U/ml。结合影像、临床、实验室检查及镜检病理结果, 该患者术前诊断应考虑为( )
A、直肠癌,伴肝脏炎性假瘤,右侧附件转移瘤
B、直肠癌,伴肝脏转移瘤及右侧附件转移瘤
C、直肠癌,伴肝脏转移瘤,右侧附件囊腺瘤
D、直肠癌,伴肝脏转移瘤,右侧附件囊腺癌
E、直肠癌,伴肝脏转移瘤.右侧附件子宫内膜异位症
F、直肠癌,伴肝脏炎性假瘤,右侧附件囊腺瘤
关注下方微信公众号,搜题查看答案

热门试题
- 肾癌介入术后的并发症是 ( )A
- 关于膀胱平滑肌瘤,正确的说法有A、不易出
- 关于急性肾盂肾炎的影像学检查,正确的有(
- CT诊断肾血管平滑肌脂肪瘤的关键是
- 关于"子宫输卵管造影"价值,下列观点哪些
- 女,35岁, 曾行剖宫产手术,有痛经史5
- “肾胚胎瘤”诊断要点,下列哪项错误
- 关于肾上腺结核的CT特点,下列错误的是(
- 下述关于宫颈癌的CT表现,错误的是A、宫
- 关于膀胱炎的X线检查,错误的是A、急性期
- 下列病变,关于输尿管特点的描述哪项是错误
- 以下关于肾腺瘤影像学表现,不正确的是A、
- 输尿管结石需与下列哪些病变相鉴别 (
- 婴幼儿最常见的肾肿瘤是A、肾细胞癌B、肾
- 1、该例最可能的诊断是A、膀胱息肉B、膀
- 下列检查方法常兼有治疗作用的是A、子宫输
- 关于肾上腺的描述,下列说法错误的为
- 关于"间质性膀胱炎"描述,下列哪项是错误
- 正常膀胱的MRI表现有A、T
- 经皮肾动脉腔内成形术简称 ( )