试题详情
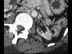
- 单项选择题患者长期透析,根据所提供的图像, 最可能的诊断是 ( )

A、肾囊肿出血
B、肾癌
C、转移癌
D、良性肿瘤
E、以上都不是
关注下方微信公众号,搜题查看答案

热门试题
- 肾上腺疾病的影像学检查,首选方法是(
- 正常前列腺的中央带与外周带在T2WI的信
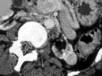
- 结合所示图像,最可能的诊断是 (
- 下列哪项不会引起肾周脂肪囊混浊A、晚期肾
- 患者,女, 28岁。葡萄胎清宫术后4个月
- 下述卵巢癌的CT表现中,错误的是A、盆腔
- 1、最可能的初步诊断为( )。A、子
- 下列哪种表现多见于肾上腺良性肿瘤 (
- 输尿管的三个生理狭窄包括 (
- 1986年Bosniak根据CT征象提出
- 关于卵巢囊性畸胎瘤的基本特征不正确的是A
- CT诊断前列腺增生的标准是 (
- 泌尿系感染的危险因素不包括以下哪一项A、
- 子宫输卵管造影的适应证有哪些A、不孕症B
- MR对比剂不良反应包括( )A、注射
- 先天子宫发育畸形包括A、重复子宫B、半隔
- 男,65岁, 体检时超声发现双侧肾上腺肿
- 下列典型肾细胞癌MRI表现的是 (
- 下列易出现钙化性转移的盆腔内肿瘤是
- 正常输尿管有几个生理性狭窄 (