试题详情
- [材料题] 患者女性,72岁,体检发现肾囊性占位。
- 多项选择题1.选择影像检查方法前,应先了解哪些临床信息( )
A、肾脏功能情况
B、是否并发感染表现
C、是否并发急性腹痛
D、是否有恶性肿瘤病史
E、是否有外伤
F、既往影像检查结果
关注下方微信公众号,搜题查看答案

- 多项选择题2.患者有胃肠道间质瘤病史,作为初步检查, 可选择的影像学检查方法是( )
A、腹部DSA
B、腹部超声
C、腹部X线
D、腹部PET/CT
E、腹部MR平扫+增强
F、腹部CT平扫+增强
关注下方微信公众号,搜题查看答案

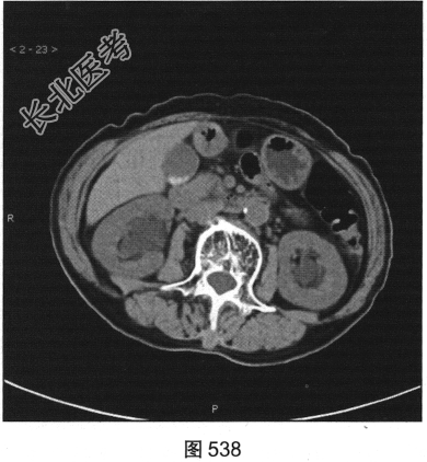
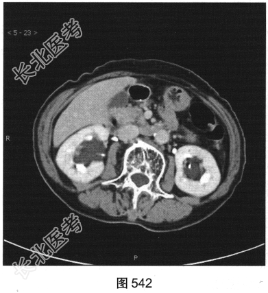
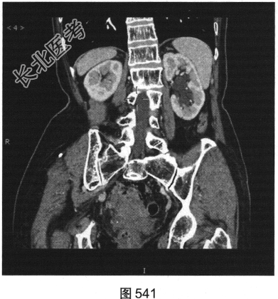
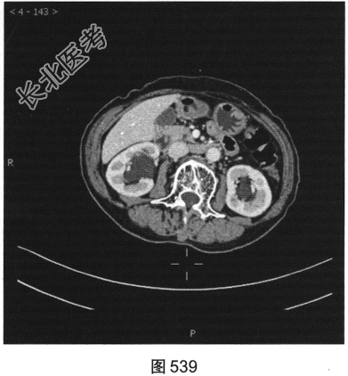
- 多项选择题3.[提示]CT平扫+增强(图538~图542)所见:双侧肾盂肾盏旁可见沿肾盂肾盏走行的多发囊样低密度灶, 未见明显强化。应考虑的鉴别诊断为( )



A、肾外肾盂旁血管病变
B、肾盂旁肿瘤性病变
C、囊性肾癌
D、肾盂旁囊肿
E、肾积水
F、肾窦内脂肪沉积症
关注下方微信公众号,搜题查看答案

- 多项选择题4.综合影像表现,考虑肾盂旁囊肿的可能, 还应关注下列哪些情况( )
A、有无出血
B、有无感染
C、有无腹部其他脏器囊肿
D、肾实质受压情况
E、有无结石
F、有无并发肿瘤
关注下方微信公众号,搜题查看答案

热门试题
- 女,37岁, 下腹部不适,MRI检查如图
- 下列关于腹膜后脂肪肉瘤的描述,错误的是A
- 除神经鞘瘤外,腹膜后其他少见良性肿瘤不包
- 关于肾周异常CT表现,下列哪些征象常见于
- 腹膜后腔根据肾脏的位置可分为 (
- 下列关于CT密度分辨率的表达,正确的是
- 正常肾上腺的MRI表现( )。A、位
- 关于肾上腺皮质醇增多症的描述,不正确的是
- 肾癌MR表现,错误的是A、T
- 下述肾脏疾病的CT表现中哪项不正确
- 1、该患者最适合的影像学检查是( )
- 肾上腺区示有含脂肪性肿块,边缘整齐,内有
- 输尿管结石X线平片可见 ( )
- 1、选择影像检查方法前,应先了解哪些临床
- 哪一项不是肾细胞癌的CT表现A、平扫多呈
- 女,57岁, 右腰部胀痛6月余,触及右侧
- 以下哪种卵巢区囊性病变属于卵巢囊肿范畴(
- 膀胱结石的典型症状为( )。A、尿频
- 女,21岁, 根据所示图像,最可能的诊断
- 在泌尿系平片上显示肾脏轮廓是由于A、肾脏