试题详情
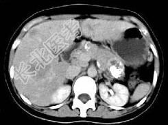
- 单项选择题根据所提供的图像,最可能的诊断为 ( )

A、胰尾囊腺癌肝转移
B、慢性胰腺炎
C、胰腺结核
D、胰岛细胞瘤
E、以上都不是
关注下方微信公众号,搜题查看答案

热门试题
- 下列关于道格拉斯窝的描述,哪项是错误的
- 患者肝移植术后1月,结合图像, 最可能的
- 男,5岁, 腹痛,黏液便并偶带血10余天
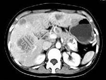
- 根据所提供的图像,该病例最可能的诊断为
- 关于肝血色病,表述正确的是( )A、
- 胃窦部有一圆形溃疡,直径2cm, 较浅,
- 下列关于脾血管瘤的不正确说法是A、均匀的
- 平坦型糜烂性胃炎与早期胃癌短期治疗后的鉴
- 下列肝硬化CT表现错误的是 (
- 十二指肠癌较罕见发生在哪段 (
- 女,25岁, 上腹疼痛不适,低热, 有阿
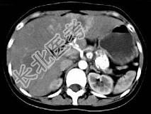
- 患者50岁,右上腹痛, 结合图像,最可能
- 胃憩室的好发部位是 ( )A、胃
- 腹膜后纤维化最常见累及的器官是 (
- 急性胰腺炎,CT发现肿大胰腺周围出现气体
- 横断面CT扫描,正常成人肝脏上下径为
- 女性,66岁。右上腹痛, 发热伴有黄疸2
- 根据所提供的图像,最可能的诊断是 (
- 男孩,12岁。发热、右上腹痛、压痛, 影
- 正常情况下胃肠道内的气体主要来源A、血液