试题详情
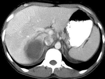
- 单项选择题女,25岁, 上腹疼痛不适,低热, 有阿米巴痢疾病史,CT检查发现肝右叶低密度病变, 如图,最可能的诊断是 ( )

A、原发性肝癌
B、肝血管瘤
C、肝错构瘤
D、阿米巴肝脓肿
E、肝转移癌
关注下方微信公众号,搜题查看答案

热门试题
- 根据所提供的图像,最可能的诊断是 (
- 下列有关胰腺的描述,错误的是 (
- 肝海绵状血管瘤的影像学表现中,包括A、抱
- 有关肠梗阻的CT表现,正确的是A、梗阻远
- 关于“食管裂孔疝”的描述,错误的是
- 根据所提供的图像,最可能的诊断是 (
- 下列疾病中,不引起食管位置或形态改变的是
- 小肠排空延迟,指口服钡剂超过几小时未全部
- 患者4岁,结合图像, 最可能的诊断为
- “肝内胆管积气”见于下列哪些疾病 (
- MRI检查中“灯泡征”最常见于A、原发性
- 根据所提供的图像,最可能的诊断是 (
- 男,18岁, 外伤后1小时,CT扫描如图
- 下述哪项不是真菌性肝脓肿的诱发因素
- 患者70岁,体重减轻, 结合图像,最可能
- 日本内镜协会对早期胃癌的定义是根据
- 1、首选的检查方法为( )。A、CT
- 患者,女, 65岁。上腹部隐痛不适伴进行
- 男,55岁, 有结肠癌史,结合图像, 最
- 脾肿大最常见的原因是 ( )A、