试题详情
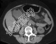
- 单项选择题患者50岁,右上腹痛, 结合图像,最可能的诊断是 ( )

A、气肿性胆囊炎
B、急性胆囊炎
C、慢性胆囊炎
D、胆囊癌
E、以上都不是
关注下方微信公众号,搜题查看答案

热门试题
- 根据所提供的图像,该病例的最可能的诊断为
- 关于脾淋巴瘤,错误的描述是( )A、
- 根据所提供的图像,最可能的诊断是 (
- 对于早期食管癌的检出,应采取哪种方法A、
- CT增强扫描无强化改变的是 (
- 患者剧烈腹痛、腹胀,结合图像, 最可能的
- 男,46岁, 反复右上腹部不适,右上腹部
- 患者,男性,38岁。钡餐示食管壁张力减低
- 关于腹膜肿瘤的CT表现,错误的是 (
- 肝右前叶病灶,结合图像, 最可能的诊断是
- 关于肝脂肪瘤,叙述正确的是( )A、
- 肝局灶性结节增生与肝小腺瘤鉴别诊断中,前
- 食管静脉曲张X线征象为( )。A、蚯
- 男,56岁,右下腹痛、贫血3个月。钡灌肠
- 胆总管囊肿MRCP表现是什么 (
- 男,32岁, 肥胖,CT检查如图所示,
- 下列疾病中可造成局部胃壁僵硬的是(
- 下列关于脾包膜下血肿的说法,哪些是正确的
- 梗阻上端有鸟嘴状狭窄,狭窄处粘膜呈回旋状
- ERCP的正确说法是A、经皮肝穿胆道造影