试题详情
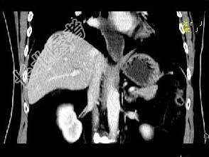
- 单项选择题根据所提供的图像,最可能的诊断是 ( )

A、肝血管瘤
B、局灶性结节增生
C、肝硬化再生结节
D、肝癌
E、肝转移癌
关注下方微信公众号,搜题查看答案

热门试题
- 下列胆道梗阻的征象中,属恶性征象的是A、
- 直肠癌腹会阴联合切口术后复发最常见的部位
- T1加权像肝脏病变表现为近似水信号的是
- 肝尾叶的静脉引流入下列哪条静脉A、肝中静
- 男,41岁, 中上腹腹痛,如图所示, 最
- 典型肝脓肿在CT上的表现,除中央低密度脓
- 女,47岁, 曾患乙肝,现右上腹及肝区疼
- 有关胆囊腺肌增生症的说法,错误的是
- 关于进展期胃癌CT的描述,错误的是:(
- 下列不是肝棘球蚴病的CT表现的是A、囊肿
- 男,48岁, 右上腹痛,发热、恶心、呕吐
- 盲肠扭转的X线表现为 ( )A
- 增殖性肠结核的X线表现有 (
- 单发巨大肝占位伴砂粒样钙化,最可能的诊断
- 肾上腺腺瘤的CT表现多为低密度,主要原因
- 关于肝硬化的病理改变引起CT表现的描述,
- 患者50岁,红细胞增多, 渐进性腹痛,结
- 1、CT诊断为2、以下哪种CT征象有利于
- 下列哪种肿瘤在肝脏的转移可出现钙化
- Caroli病的CT表现不正确的是A、肝