试题详情
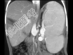
- 单项选择题患者肝移植术后1月,结合图像, 最可能的诊断为 ( )

A、肝脓肿
B、正常术后表现
C、肝梗死
D、血肿
E、以上都不是
关注下方微信公众号,搜题查看答案

热门试题
- 食管异物最易发生的部位 ( )A
- 食管的第三个生理压迹局限性增深时提示A、
- 有关肝脂肪变性的描述正确的是A、肝硬化脂
- 小肠Crohn病的X线征象包括 (
- 小肠排空延迟,指口服钡剂超过几小时未全部
- 转移性肝癌最常见的CT强化类型是 (
- 为提高食管静脉曲张的检出率,应用下列哪种
- 下列CT表现提示急性胰腺炎的描述,错误的
- 根据所提供的图像,最可能的诊断是 (
- 男性,28岁,交通事故受伤,CT见肝脏裂
- 贲门痉挛的征象是A、食管下端不规则充盈缺
- 男,58岁, 间断腹部隐痛9月,贫血3月
- 下列哪一项不符合胆管结石的CT表现A、胆
- 关于肝细胞癌的MRI表现,错误的是
- 根据所提供的图像,可除外下列哪种诊断
- 男,43岁, 体检肾上腺CT扫描如图,最
- 经皮经肝胆道外引流术的注意事项中,哪项错
- 根据所提供的图像,最可能的诊断是 (
- 哪些是慢性胃溃疡恶变的征象 (
- 胆管囊状扩张分五型,最常见的是( )