试题详情
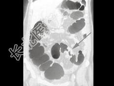
- 单项选择题男,55岁, 左下腹胀痛、并可触及包块,结合图像, 最可能的诊断为 ( )

A、结肠Crohn病
B、结肠癌
C、结肠腺瘤
D、肠结核
E、慢性溃疡性结肠炎
关注下方微信公众号,搜题查看答案

热门试题
- 关于食管静脉曲张与食管癌,最主要的鉴别点
- 女婴,7月。经常呕吐, 腹部饱满、膨隆,
- 结合图像,最可能的诊断为 ( )
- 下列哪项不是肝癌所致肝静脉、下腔静脉癌栓
- 下列描述哪项不是MRI肝脏SE扫描序列的
- 男,55岁, 肝区不适,CT扫描如图,
- 男,33岁, 腹部外伤后2月余,腹部疼痛
- 贲门失弛缓症胃肠钡餐造影时的典型X线表现
- 腹部平片上,小肠分六组,十二指肠属于第几
- 关于胰腺癌的MRI表现,正确的是A、T<
- 肝脏上皮样血管内皮瘤的特征性影像是(
- 下列诊断小肠Crohn(克罗恩)病较为特
- “口服胆囊造影”,脂餐后胆囊正常收缩率为
- 患者,男性,38岁。钡餐示食管壁张力减低
- 肝癌病灶可发生 ( )A、钙化
- 原发性胆汁性肝硬化可伴有 (
- 下列是食管静脉曲张的X线特征性表现的是A
- 根据所提供的图像,最可能的诊断是 (
- 结合图像,最可能的诊断为 ( )
- 下列哪项是慢性胰腺炎最具特征性的征象