试题详情
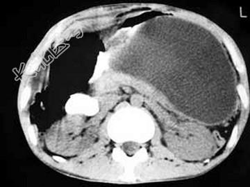
- 单项选择题男,33岁, 腹部外伤后2月余,腹部疼痛, 行CT扫描所见如图,最可能的诊断是 ( )

A、急性胰腺炎
B、慢性胰腺炎
C、胰腺创伤性假性囊肿
D、畸胎瘤
E、腹腔包裹性积血
关注下方微信公众号,搜题查看答案

热门试题
- 肝局灶性结节增生与肝小腺瘤鉴别诊断中,前
- 患者约30岁,结合图像, 最可能的诊断为
- 临床有“低蛋白血症”,则可除外哪种疾病
- 脾血管瘤的影像学表现包括A、动态增强早期
- 男,54岁,B超体检示肝左叶强回声团块影
- 不属于肝细胞癌CT表现的是A、肝实质内在
- 关于“Peutz-Jeghers综合征”
- 下述胆囊癌特点,错误的是 ( )
- 肝岛CT表现 ( )A、胆囊床
- 关于胰腺癌的MRI表现,错误的是A、T<
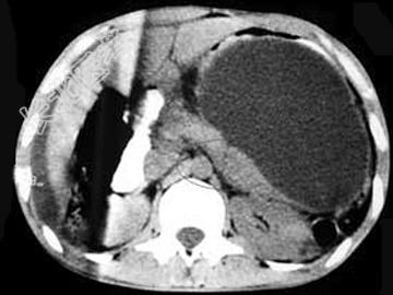
- 外伤患者,如图所示, 最可能的诊断为
- 下列哪项不是良性溃疡的X线征象 (
- 下述哪种病变,腹部平片价值最低 (
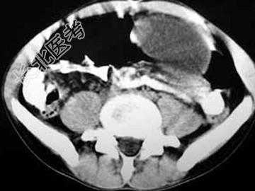
- 男,15岁, 下腹疼痛不适,结合图像,
- SE序列各加权像,均为低信号的病变是
- 女,45岁, 咽喉不适,异物感。体检:
- 以下对肝肿瘤的定性诊断很有帮助的是A、肿
- 关于细菌性肝脓肿,下列说法错误的是(
- 胆管细胞癌的影像特点不包括( )。A
- 下列关于假囊肿型腹膜后脂肪肉瘤的描述,正