试题详情
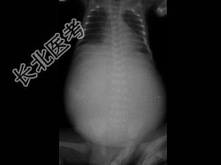
- 单项选择题女婴,7月。经常呕吐, 腹部饱满、膨隆,消瘦。如图所示, 最可能的诊断为 ( )

A、消化道闭锁
B、十二指肠闭锁
C、消化道穿孔
D、肠套叠
E、肠扭转
关注下方微信公众号,搜题查看答案

热门试题
- “贲门失弛缓症”的造影表现,哪项不正确
- 急性胰腺炎的可能病因包括A、胆石症与胆道
- 关于胰腺在CT图像上的识别标志,下述哪项
- T1加权像,下述肝占位信号强度描述哪项不
- 根据所提供的图像,最可能的诊断为 (
- 克罗恩(Crohn)病好发部位是A、十二
- 1、首选检查方法为2、如果腹部CT提示早
- 胃的排空时间一般为服钡后( )小时A
- 患者中年,大便次数增多, 结合图像,最可
- 下列哪些是脾梗死的CT表现A、尖端朝向脾
- 下列胃溃疡并发症中,哪种不宜钡餐检查
- 结合图像,最可能的诊断为 ( )
- 下列哪种肿瘤在肝脏的转移可出现钙化
- 最有利于肝探查的呼吸阶段是A、深呼吸后屏
- 男,33岁,右下腹隐痛,可触及肿块伴有压
- ERCP的正确说法是A、经皮肝穿胆道造影
- 关于肝癌CT平扫表现,描述错误的是A、大
- 球形增大的肝右叶下段称为 ( )
- 常可发生少血管型肝转移的是 (
- 患者腹痛,结合图像, 最可能的诊断是