试题详情
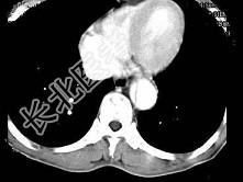
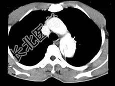
- 单项选择题根据所提供的图像,最可能的诊断是 ( )

A、主动脉瘤
B、主动脉假性动脉瘤
C、主动脉夹层3型
D、主动脉夹2型
E、以上都不是
关注下方微信公众号,搜题查看答案

热门试题
- 胃肠道憩室于钡剂造影时,最不易充盈的是
- 根据所提供的图像,最可能的诊断是 (
- 我国引起肝硬化最主要的原因是A、酒精中毒
- CT增强扫描无强化改变的是 (
- 良性胃溃疡患者,龛影周围表现中, 正确的
- 肝癌的分型描述正确的是A、巨块型瘤块直径
- 胰头癌低张十二指肠造影的X线征象为A、十
- 下述关于“胃底静脉曲张”造影表现的描述,
- 1、该患者可能诊断为( )A、胰腺炎
- MRI扫描,包膜征最常见于 (
- 男,55岁, 上腹饱胀不适2月,结合图像
- 患儿,3岁。钡灌肠发现直肠局限性狭窄,
- 1、该病例最可能的诊断是2、上述病变主要
- 下列"结肠癌"的造影表现,哪项也可见于良
- 胃壁增厚,结合图像, 该病例的鉴别诊断包
- 食管癌X线表现为 ( )A、管腔
- 下述哪项不是真菌性肝脓肿的诱发因素
- 单纯性肠梗阻属于A、动力性肠梗阻B、血运
- 十二指肠溃疡最常发生于 ( )A
- 不符合胆囊癌影像表现的是( )。A、