试题详情
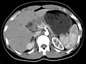
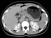
- 单项选择题结合图像,最可能的诊断为 ( )

A、胰腺癌
B、胰岛细胞癌
C、胰腺囊腺癌
D、胰腺炎
E、以上都不是
关注下方微信公众号,搜题查看答案

热门试题
- 男,5岁, 腹痛,黏液便并偶带血10余天
- 男,45岁,无明显外伤史,腹部CT如图所
- 下列哪项不是纵轴型胃扭转的X线表现
- 女,38岁, 右下轻微腹痛、压痛、无反跳
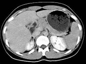
- 结合图像,最可能的诊断为 ( )
- 腹部平片检查最常用于诊断 ( )
- 男,67岁, 上腹不适,体重下降2个月。
- 下列肝脏MRI征象的相应诊断,错误的是
- 钡餐检查,病理性胃形态为 ( )
- 下列"结肠癌"的造影表现,哪项也可见于良
- 关于肝脏囊腺瘤,下列说法正确的是(
- 关于门静脉瘤栓的描述,错误的是A、平扫时
- 关于肠套叠的叙述,错误的是A、近段肠管套
- 小肠出血确诊的主要依据为 ( )
- 肠系膜上动脉分支有哪些 ( )
- “不定形”征见于 ( )A、肝脏
- T1加权像,下述肝占位信号强度描述哪项不
- 关于“小肠肿瘤”描述,错误的是 (
- 男,60岁, 吞咽不适半年,近1个多月不
- 男,出生后2天。哭闹不止, 腹胀。如图所