试题详情
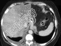
- 单项选择题男,66岁, 肥胖,有糖尿病史, CT检查如图,最可能的诊断是 ( )

A、局灶性脂肪肝
B、肝硬化肝癌
C、肝血管瘤
D、肝胆管细胞癌
E、肝淋巴管瘤
关注下方微信公众号,搜题查看答案

热门试题
- 胃癌介入治疗的适应证不包括A、不能外科切
- 下列关于脾包膜下血肿的说法,不正确的是A
- 1、首选的检查方法为( )。A、CT
- 根据所提供的图像,最可能的诊断是 (
- 下列关于食管的描述,哪些是正确的 (
- 下列脾脏病变,哪些可以出现钙化 (
- 对于胰尾病灶,结合图像, 最可能的诊断是
- 下列不是脂肪肝的CT表现的是A、肝脏实质
- 增殖性肠结核的X线表现有 (
- 下列不属于胃溃疡演变的是A、恶变B、线状
- 下列征象中哪项不能提示与胰腺有关的病变A
- “良、恶性胃溃疡”共有的征象为 (
- 男,60岁, 曾患乙肝、肝硬化多年,右上
- 男孩,12岁。发热、右上腹痛、压痛, 影
- 男性,35岁。有乙肝病史多年, AFP阳
- 关于胆囊腺肌增生症,下列说法不正确的是A
- 除哪项外均为细胞周期特异性药物A、氟尿嘧
- 根据所提供的图像,最可能的诊断是 (
- 有关肝硬化的CT表现,正确的是A、肝左叶
- 经动脉导管栓塞治疗上消化道出血最常见的并