试题详情
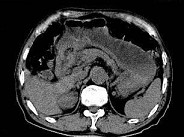
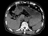
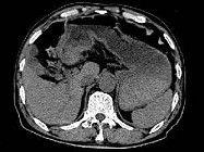
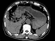
- 单项选择题根据所提供的图像,最可能的诊断是 ( )

A、胃淋巴瘤
B、胃平滑肌瘤
C、胃窦癌
D、胃窦炎
E、以上都不是
关注下方微信公众号,搜题查看答案

热门试题
- 肝内胆管扩张而肝外胆管正常,说明胆道梗阻
- 下述疾病中,能够引起盲肠缩短、变形、收缩
- 关于“十二指肠溃疡”的描述,错误的是
- 男,31岁, 急性腹痛、上腹部压痛反跳痛
- 食管癌X线造影的表现包括 (
- 关于肝内胆管细胞癌的叙述,正确的是A、多
- 男,56岁, 排便形状改变,便后不尽感,
- 在我国,肝硬化最常见的病因是( )。
- 下列有关“非梗阻性胃扩张”原因中,错误的
- 关于食管静脉曲张的叙述不正确的是A、由门
- 腹部外伤患者,右上腹及背部疼痛,呕吐物为
- 根据所提供的图像,最可能的诊断是 (
- 关于消化道出血灌注并发症,正确的是
- 关于肝血管瘤的描述,错误的是A、女性发生
- 急性胰腺炎常见的MRI表现是A、胰腺肿大
- 男性,48岁。上腹部不适2月余, 患者有
- Caroli病的CT表现不正确的是A、肝
- 1、应诊断哪种疾病2、进一步明确诊断需做
- 胆道梗阻最好发的部位是 ( )A
- MRI成像,肝占位“靶征”指 (