试题详情
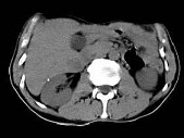
- 单项选择题根据所提供的图像,最可能的诊断是 ( )

A、转移癌
B、肝细胞癌
C、肝脓肿
D、肝血管瘤
E、以上都不是
关注下方微信公众号,搜题查看答案

热门试题
- 1、结合病史,该患者最可能的诊断是A、脂
- 男,32岁, 中上腹空腹痛,进食后缓解,
- 以下关于脂肪肝病因正确的是 (
- 男,45岁, 右季肋区疼痛,Murphy
- 单纯性小肠梗阻的X线征象表现为 (
- 根据所提供的图像,可除外下列哪种诊断
- SE序列各加权像,均为低信号的病变是
- 肝脓肿X线平片检查所见有哪些A、膈肌升高
- 十二指肠溃疡最好发的部位是A、十二指肠球
- 克罗恩病的特征病变是A、病变一般较局限,
- 下列关于肝门解剖结构的排列,正确的是A、
- 钡餐检查,病理性胃形态为 ( )
- 下列关于腹水的描述,不正确的是 (
- 日本内镜协会对早期胃癌的定义是根据
- 关于脾脏与周围器官的关系错误的是 (
- “良、恶性胃溃疡”共有的征象为 (
- 关于肝脏病变的描述,错误的是A、肝硬化为
- 1、最可能的诊断是2、下述该病的特点,哪
- 患者肝移植术后1月,结合图像, 最可能的
- 原发性肝癌肝外血行转移最常见的部位是A、